圣贝牙科为圣贝口腔医院重金打造的旗舰医院,是按照三级口腔专科医院和五星级健康会所标准建设……【详细】
自助挂号
免专家挂号费,享优先就诊
免费口腔拍片检查
(成功预约后,我们将尽快回访)
特色技术
牙齿缺损种植案例
时间:2013-10-10 14:46 来源:未知 点击:
患者情况
【患者信息】
姓名:刘女士
牙齿症状:牙齿缺失
治疗方案:做牙齿种植
主治医生:李大卫
姓名:刘女士
牙齿症状:牙齿缺失
治疗方案:做牙齿种植
主治医生:李大卫
治疗方案
牙齿缺失最常见的现象是上排侧面的牙齿缺少,缺失的牙齿通常是门齿、前臼齿及第三臼齿。另一种缺牙原因可能是牙齿受到压阻,也就是无法长出到牙龈上面来。这会造成许多问题。最常发生受到压阻无法长出来的牙齿是上犬齿、前臼齿及智齿。

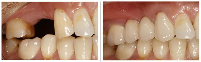
刘女士牙齿缺失种植前后对比图
刘女士牙齿缺失的症状:部分臼齿缺失,可造成牙齿歪斜地长入缺牙缺口,还会造成咬合不良,导致牙齿磨损及面部肌肉障碍。
由于缺牙左右两边的牙齿无法获得它们原先常有的支撑压力,它们会在牙龈中变得倾斜不正,使牙齿逐渐松动,导致部分牙齿脱落。
牙齿缺失的应对措施,西安圣贝牙科医院专家说,种植牙可以很好的解决牙齿缺失的情况。

刘女士牙齿缺失种植前后对比图
由于缺牙左右两边的牙齿无法获得它们原先常有的支撑压力,它们会在牙龈中变得倾斜不正,使牙齿逐渐松动,导致部分牙齿脱落。
牙齿缺失的应对措施,西安圣贝牙科医院专家说,种植牙可以很好的解决牙齿缺失的情况。
术后效果
种植牙是指在植入的人工牙根上镶装的假牙。先将与人体有良好生物相容性的种植体(即人工牙根),通过手术的方法植入缺牙部位的牙床上,经过一段时间待伤口愈合后,再在人工牙根上镶装义齿(假牙),修复缺失的牙齿。
通俗说法:种植牙是跟种庄稼一样,用手术将种植钉植入颌骨内,待3至6个月后种植体与颌骨结合牢固,在种植体上端将假牙接好即成为一个种植牙。
通俗说法:种植牙是跟种庄稼一样,用手术将种植钉植入颌骨内,待3至6个月后种植体与颌骨结合牢固,在种植体上端将假牙接好即成为一个种植牙。
诊疗时间:8:30-20:00 咨询时间:8:00-23:00
相关阅读
- · 全口牙缺失种植成功案例
- · 牙齿缺失种植牙成功案例
- · 假牙失败种植牙修复案例
- · 种植牙修复案例
- · 门牙掉落种植牙修复案例
- · 牙齿崩断种植修复案例
- · 牙齿脱落种植修复案例
- · 全口牙种植成功案例
- · 牙齿缺失种植牙修复案例
- · 58岁圣贝种植牙成功案例
- · 单颗种植牙修复案例
- · 李大爷全口种植修复案例

您目前所在的位置:













西安店 
