地址:【西安市莲湖区丰登南路2号公园国际一楼】

    全国免费电话:029-81327105

12

全口做烤瓷牙好不好
时间:2014-10-20 16:26 来源:未知 点击:
  人老了牙齿都不利索了,甚至很多老年人都出现了全口牙齿脱落的现象。吃饭也只能靠牙龈进行轻轻咀嚼一下就将食物吞下肚子了,全口牙齿掉落的人来说每天每顿进食都是囫囵吞枣,食之无味。“民以食为天”这样的生活对于老年人来说是痛苦的,那么全口做烤瓷牙好不好
  案例:
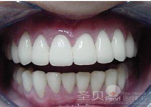
  患者信息:周大爷
  年龄:67岁
  牙症简介:全口牙齿脱落
  治疗方案:烤瓷牙
 
全口做烤瓷牙好不好
  首先大家可以了解一下全口牙缺失给人带来的危害
  一、影响咀嚼体验:吃东西不痛快,牙齿全掉了,平时喜欢吃的东西,都没法吃,只能吃点流体食物,或者软食。 全口牙齿的缺失影响人的消化,给机体的健康带来损害;
  二、影响脸面问题:全口牙缺失对面形的影响很明显,会导致唇颊部萎陷,看不到牙齿,谈笑时可看到舌大部分和两侧的口腔黏膜,会影响整个人的形象,让人联想到他的身份、地位和经济状况,必然影响社交活动。
  三、影响有效发音:人在发音、谈话、唱歌时,气流都要从体内经上下牙齿之间冲出口外,故开口的大小与声音的变化有密切的关系。
  四、影响身体营养均衡:当牙齿全口缺失后,咀嚼功能丧失,胃液分泌减少,胃肠蠕动减慢;未嚼碎的食物进入胃、肠、加重了胃肠系统的负担。
  对于烤瓷牙好不好,该了解烤瓷牙是什么,明白了它的具体作用后就能评判其好坏了,接下来听听圣贝牙科的详细介绍:
  所谓烤瓷牙,就是将瓷粉经过高温烧结熔附于金属内冠表面而形成的全冠修复体,是一种较理想的修复体。
  【哪里做烤瓷牙比较好】
  西安圣贝医院在治疗时使用的是圣贝5D圣贝美牙技术,在治疗时拥有比较佳的透光、美观。同时患者在我院可选择比较佳的烤瓷牙,从而患者找到好的牙齿,而且治疗需要的时间短,让患者在人际交流中免遭尬尴。>>>欢迎点击挂号口腔,进行在线交流<<<
  【圣贝做烤瓷牙的优势】
  一、咀嚼舒适感。配戴烤瓷牙后,患者应该尝试一般的咬合动作,感受一下在咀嚼时,牙齿的受力是否均匀,有没有酸胀感等。
  二、烤瓷牙的色泽。在自然光线下,烤瓷牙的颜色和光泽度等应该和邻牙接近,要富有层次感和透明度;尤其是前牙,注意从牙切缘至牙颈部的色调、光泽度应保持一致。四环素牙和氟斑牙患者则要检查烤瓷牙的色泽与牙龈、皮肤的颜色是否协调。
全口做烤瓷牙好不好
 
  三、牙缝的松紧度。烤瓷牙与邻牙应适度接触。如过于紧密,患者有严重的挤胀感;如缝隙过大,进食后易造成食物嵌塞而诱发龋齿和龈乳头炎。适度的接触是患者略有轻微挤胀感,可用牙线自我检查,即牙线从上到下通过牙缝时感到有一定阻力。
  四、烤瓷牙边缘的位置。烤瓷牙的后边缘应位于牙体与牙龈缘之间,并深入龈缘下0.5个毫米左右。从外表看烤瓷牙与牙龈连成一体,与天然牙无异。
  圣贝牙科 百年牙科品牌实力
  个引进种植牙 技术,个设立明星牙健康管理机构,个开创巡诊模式,个在牙科医疗行业引入五星级航空服务理念,个执行16层净化消毒的8个1无菌诊疗模式……在牙科医疗行业创造的无数个的,圣贝牙科为三秦大地树立了牙科医疗行业一个个的里程碑。入驻西安仅仅一年的时间,圣贝牙科已然奠定了其在古城种植牙行业主流地位,更是成为业界人士和牙科疾患顾客关注的焦点。
  全口做烤瓷牙好不好?这个问题已经给大家做了详细解答。听完的介绍您是否对这个问题已经了解了,如果没有有效了解,没有关系,可以点击圣贝牙科的在线挂号或者拨打免费挂号热线的方式进行在线问答式的了解,圣贝牙科的们会给大家做比较的解答。
关键词: 圣贝 烤瓷牙

美牙热线:029-81327105
地址:西安市莲湖区丰登南路2号(丰庆公园西门对面)公园国际一层)

< >

圣贝牙科为圣贝口腔医院重金打造的旗舰医院,是按照三级口腔专科医院和五星级健康会所标准建设……【详细】

自助挂号    

免专家挂号费,享优先就诊
免费口腔拍片检查

(成功预约后,我们将尽快回访)
特色技术
新闻动态      
6月20日下午,西安市莲湖区政协副主席刘庆明一行到圣贝口腔医院走访...【详细】
3月10日上午,西安圣贝口腔会议室汇聚了一群因种植牙而来的患者朋友...【详细】
3月10日上午,西安圣贝口腔会议室汇聚了一群因种植牙而来的患者朋友...【详细】
爱心义诊进社区 志愿服务暖人心 我院法士特口腔义诊活动圆满结束 3月...【详细】
2022年2月17日上午10点整,随着生日快乐歌的响起,西安圣贝牙科的会员...【详细】

© 2011-2020 西安莲湖圣贝口腔门诊部 版权所有

市医广【2020】第239号

陕ICP备13003650号