地址:【西安市莲湖区丰登南路2号公园国际一楼】
全国免费电话:029-81327105
牙齿脱落肯定会带来很多不便,那人们就会选择种植牙;市面上的种植牙现在是五花八门,想要选择一家好点的技术,由如大浪淘沙一般。俗话说的好:“一分钱,一分货”收多少的钱,做多少的量;说到多少钱,我相信古城很多市民都想了解到,西安做种植牙哪种技术比较好呢?
种植牙什么技术好呢?
西安种植牙,圣贝种植您的!
种植具有美观实用,有效简单,稳固牢靠,方便快捷,时间短的优势。50年来成为种植系统的业界和行业标准,成功率高达98.98%,种上的牙齿如同新长出的真牙,能真实感知冷、热、酸、甜、香、辣,成为JCI医疗机构认证的行业典范。
圣贝做种植牙----放一万个心
为了每一位种植顾客都能享受到贵宾式售后服务,圣贝牙科为每一颗种植牙都进行了身份编号建档。并对种植牙顾客做出如下:作为知名牙科连锁机构,圣贝的每一颗种植体均系原装进口,全部严格通过OHSAS18000健康有效认证以及ISO9000质量认证,在享受5年全国质量联保的基础上,提供终身维护服务。
什么是种植?
种植把普通种植牙需要的3-6个月的植入种植体,等待愈合,植入烤瓷冠的时间浓缩为短短的1个小时,做到即拔即种。
种植牙四大核心:
一是“快”:在拔牙的同时一次性植入,即拔即种,手术过程仅需几十分钟,坚固美齿一次性成型;
二是“准:圣贝将韩国极束星全口牙CT运用于种植牙上,解决了普通二维成像的种种弊端,有效清晰地展现患者头颅及口腔整体状况、骨密度、骨宽度及神经走向位置等,并能模拟展现顾客颌骨情况,快速收口腔信息,大大提高种植术的有效性和成功率。把握种植角度、深度、吻合度,实现有效植入无缝对接牙床;
三是”精“:圣贝注重植入过程每个环节的精微性,精细每个细节,有效吻合每个患者的牙床特质,植入一气呵成。相关阅读:种植牙前的准备
四是”微“:讲究植入的精细性,只需3-4毫米的微小切口,将创伤降到比较低,全程微痛,出血少有效恢复。
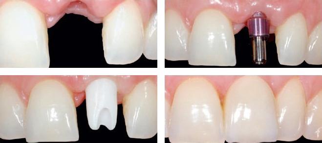
圣贝种植牙展示:
相信您们也多少明白了点影响做种植牙多少钱的因素,那么,选择种植牙这种热门方法,难道很多人都喜欢追“范儿”吗?流行什么就跟着走什么吗?其实并不是,如今种植牙在牙科界已经是比较前沿,圣贝一个个成功的例子就是您选择圣贝的理由。
						
圣贝具有五大技术:
圣贝牙科连锁引进全球领先的技术,如圣贝种植系统、美颜正畸系统、圣贝美容修复系统、牙齿美白系统、微痛治疗系统。三维立体成像,360°显示牙齿状况。圣贝,五星级齿科诊疗机构,舒适明亮的就医环境,整齐宽敞的就诊空间,力争为患者提供比较好的服务。
西安圣贝温馨指南
挂号电话:029-8132-7105 (全国免费挂号预约电话)
口腔QQ热线:4000299921
医院地址:西安市莲湖区丰登南路2号(丰庆公园西门对面)公园一层

美牙热线:029-81327105
                    
                    地址:西安市莲湖区丰登南路2号(丰庆公园西门对面)公园国际一层)
                 
        圣贝牙科为圣贝口腔医院重金打造的旗舰医院,是按照三级口腔专科医院和五星级健康会所标准建设……【详细】