圣贝牙科为圣贝口腔医院重金打造的旗舰医院,是按照三级口腔专科医院和五星级健康会所标准建设……【详细】
自助挂号
免专家挂号费,享优先就诊
免费口腔拍片检查
(成功预约后,我们将尽快回访)
特色技术
英语老师的牙齿修复之路
时间:2017-07-20 13:35 来源:西安圣贝牙科医院 点击:
患者情况
【患者情况】
姓名:李先生
职业:初中英语教师
年龄:28岁
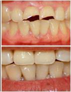
牙齿症状:门牙破损
姓名:李先生
职业:初中英语教师
年龄:28岁
牙齿症状:门牙破损
治疗方案
诊疗医生:王诒
医生初步诊疗方案:为李先生检查诊治的是西安圣贝牙科医院的王诒医师,王诒医师为李先生做了详细的检查后,根据李老师的实际情况推荐Prussian亲贝定制牙美容。
具体治疗方案:经过李先生的综合考虑和王诒医生给出的意见,介于Prussian亲贝定制牙美容形态逼真,色泽稳定,耐酸碱,属永久性修复体,李先生最终还是选择的Prussian亲贝定制牙美容修复。
医生初步诊疗方案:为李先生检查诊治的是西安圣贝牙科医院的王诒医师,王诒医师为李先生做了详细的检查后,根据李老师的实际情况推荐Prussian亲贝定制牙美容。
具体治疗方案:经过李先生的综合考虑和王诒医生给出的意见,介于Prussian亲贝定制牙美容形态逼真,色泽稳定,耐酸碱,属永久性修复体,李先生最终还是选择的Prussian亲贝定制牙美容修复。

牙齿修复前后对比图
【案例回放】
患者自述:前几天我在小区里面散步,由于边听电话边走路,一不小心被一个石头摔倒在地。当时感觉没有什么,只是膝盖擦破了皮流血了,起身才发现怎么牙齿很漏风,马上摸出手机一看,原来门牙摔掉了半截儿。
在之后的生活工作中,我都郁郁寡欢,虽说只有2颗牙齿破损,但是吃饭还是会受影响。最难受的是外表形象,自从牙齿破损以后,上课发音受阻碍,同学都悄悄议论,悄悄笑话我,虽说我比他们大,但是对于一个20多岁爱美的我而言,真的很苦恼。于是,在网上搜索了很久,看了很多牙科网站,最后我还是决定选择一个有保障的国际连锁圣贝牙科——西安圣贝牙科医院。
患者自述:前几天我在小区里面散步,由于边听电话边走路,一不小心被一个石头摔倒在地。当时感觉没有什么,只是膝盖擦破了皮流血了,起身才发现怎么牙齿很漏风,马上摸出手机一看,原来门牙摔掉了半截儿。
在之后的生活工作中,我都郁郁寡欢,虽说只有2颗牙齿破损,但是吃饭还是会受影响。最难受的是外表形象,自从牙齿破损以后,上课发音受阻碍,同学都悄悄议论,悄悄笑话我,虽说我比他们大,但是对于一个20多岁爱美的我而言,真的很苦恼。于是,在网上搜索了很久,看了很多牙科网站,最后我还是决定选择一个有保障的国际连锁圣贝牙科——西安圣贝牙科医院。
术后效果
术后王诒医师还特别提醒李先生一定要尽量避免吃过硬的食物,还要注意吃饭时不要硌到沙子,这种非正常的力极易造成崩瓷或贴面剥离金属基底。
Prussian亲贝定制牙美容优势:
Prussian亲贝定制牙美容修复是一种理想的修复体。它是先用合金制成金属基底,再在其表面覆盖与天然牙相似的低熔瓷粉,在真空高温烤瓷炉中烧结熔附而成,因而有金属的强度和烤瓷全冠的美观。它的特点是能恢复牙体的形态功能,抗折力强且颜色、外观逼真,表面光滑,耐磨性强不会变形,色泽稳定, 成功的烤瓷修复体应当是形态逼真,色泽稳定.耐酸碱,属永久性修复体。
Prussian亲贝定制牙美容优势:
Prussian亲贝定制牙美容修复是一种理想的修复体。它是先用合金制成金属基底,再在其表面覆盖与天然牙相似的低熔瓷粉,在真空高温烤瓷炉中烧结熔附而成,因而有金属的强度和烤瓷全冠的美观。它的特点是能恢复牙体的形态功能,抗折力强且颜色、外观逼真,表面光滑,耐磨性强不会变形,色泽稳定, 成功的烤瓷修复体应当是形态逼真,色泽稳定.耐酸碱,属永久性修复体。
关键词: 牙齿修复
诊疗时间:8:30-20:00 咨询时间:8:00-23:00
相关阅读

您目前所在的位置:













西安店 
