圣贝牙科为圣贝口腔医院重金打造的旗舰医院,是按照三级口腔专科医院和五星级健康会所标准建设……【详细】
自助挂号
免专家挂号费,享优先就诊
免费口腔拍片检查
(成功预约后,我们将尽快回访)
特色技术
圣贝亲贝定制牙美容技术让您重拾笑容
时间:2013-10-10 16:33 来源:未知 点击:
患者情况
【患者信息】
患者:李小姐
年龄:24岁
牙症:畸形牙、不齐、色素牙
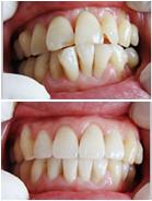
检查:上下前牙排列拥挤,很不整齐,色素牙,X片显示根尖周无异常。
主治医师:张旭
患者:李小姐
年龄:24岁
牙症:畸形牙、不齐、色素牙
检查:上下前牙排列拥挤,很不整齐,色素牙,X片显示根尖周无异常。
主治医师:张旭
治疗方案
美牙方案:结合肤色、脸型,通过VITA比色仪器以及数码定位系统对牙齿进行检测,选定合适的美牙方案。
美牙后:牙齿排列整齐,牙色洁白自然,上下牙交合正常。
美牙技术:Prussian亲贝定制牙美容系统
美牙时间:一小时

美牙前后对比图
【案例回放】
导游李小姐非常喜欢旅游行业,相信很多人都喜欢旅游有时还羡慕导游这一职可以玩转各地绝色景点,说到旅游每个人都会做这样的事,每到一个景区都会吃尽当地特色佳肴,在美丽风景线上留影,李小姐也不例外喜欢拍照开心就笑,但每次相片出来她就成了焦点,因为她有一畸形牙、不齐还着色,牙齿抢了镜头让她感到很尴尬,此后她就很少以笑脸留影。
一个偶然的机会,从游客那得知美牙冠可以矫正她的畸形牙。她兴奋极了出差回来后就马上去Prussian亲贝定制牙美容技术指定的医疗机构时行详细咨询并接受了治疗。
美牙后:牙齿排列整齐,牙色洁白自然,上下牙交合正常。
美牙技术:Prussian亲贝定制牙美容系统
美牙时间:一小时

美牙前后对比图
导游李小姐非常喜欢旅游行业,相信很多人都喜欢旅游有时还羡慕导游这一职可以玩转各地绝色景点,说到旅游每个人都会做这样的事,每到一个景区都会吃尽当地特色佳肴,在美丽风景线上留影,李小姐也不例外喜欢拍照开心就笑,但每次相片出来她就成了焦点,因为她有一畸形牙、不齐还着色,牙齿抢了镜头让她感到很尴尬,此后她就很少以笑脸留影。
一个偶然的机会,从游客那得知美牙冠可以矫正她的畸形牙。她兴奋极了出差回来后就马上去Prussian亲贝定制牙美容技术指定的医疗机构时行详细咨询并接受了治疗。
术后效果
诊疗时间:8:30-20:00 咨询时间:8:00-23:00
相关阅读

您目前所在的位置:













西安店 
