圣贝牙科为圣贝口腔医院重金打造的旗舰医院,是按照三级口腔专科医院和五星级健康会所标准建设……【详细】
自助挂号
免专家挂号费,享优先就诊
免费口腔拍片检查
(成功预约后,我们将尽快回访)
特色技术
牙齿拥挤美容冠修复案例
时间:2014-01-17 10:48 来源:西安圣贝牙科医院 点击:
患者情况
【患者简介】
姓名:陈小姐
年龄:20多岁
职业:白领
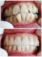
检查分析:医生对陈小姐的牙齿检查后发现,她的牙齿门牙拥挤不齐,嘴型也受到轻微影响,口腔无其他异常。
主治医师:多伦.鲍尔
主治医师:多伦.鲍尔
治疗方案
治疗方案:推荐使用德国Cerec 5D美容冠技术,修复她的拥挤不齐的牙齿,预期效果牙齿变得美观整齐,呈现亮白牙齿光彩,改善嘴型,整体有较大改
善。
善。

陈小姐牙齿美白前后对比图
陈小姐冰雪聪明,是职场精英,才20多岁在职场上就赢得老板的重任,客户的喜爱,好像什么事情都难不住陈小姐,只有唯独那口拥挤不齐的牙齿让陈小姐很是难受。人际关系广了,事业广了,应酬就更多了,每次饭局陈小姐最为难的就是这口拥挤不齐的牙齿,在饭后老是有很多食物残渣塞在里面,都要清理很久。作为一个女性职场精英来说,这是尤为尴尬的一件事情,也只有这个时候,陈小姐的信心才会比平常明显减少许多。
术后效果
陈小姐为了让自己以完美的形象去迎接工作,避免牙齿引起尴尬,她决定去做牙齿矫正,从客户口中获知西安圣贝国际牙科连锁医疗机构的美容冠美牙技术非常好,陈小姐立即在网上预约了牙修复专家多伦.鲍尔为她做美容冠修复,据西安圣贝国际牙科连锁医疗机构在线专家介绍,Cerec 5D美容冠是专门针对成年人牙齿矫正的,矫治过程不拔牙,无痛苦,时间短,牙齿坚固,多年后牙龈不会出现黑线等优点,从而达到终生有保障的美牙效果。陈小姐到诊后,接诊专家为其做了详细的口腔检查,确定她确实很适合做美容冠矫正,又为她做了详细的介绍,一个小时以后,手术结束,牙齿终于恢复整齐。微笑起来,拥挤的牙齿不见了,露出整齐洁白的16颗牙,让人羡慕不已,陈小姐说自己的牙齿好像明星一样的漂亮。
技术分析:
德国最新结合Cerec 5D美容冠技术,运用CAD/CAM原理研发,由计算机支持设计制作,一次性完成全瓷修复体、全冠和贴面制作过程。由于采用4颗马达,两颗以上冠可同时开工。单颗冠从扫描、设计、制作、戴牙从1小时提速至45分钟,真正实现了立等可戴,美丽坚固的高端修复典范。Cerec 5D美容冠适用于:牙齿缺损(缺失)、牙齿黄黑、牙齿大小不一、牙缝过大、歪牙、龅牙、错牙、牙列不齐、牙齿不理想(难看)牙齿问题的修复。经Cerec 5D修复后,每颗牙齿的切缘、牙体、颈缘色泽调和有序,更富有层次感。结合亲贝材料强度更高,一般能使用8 至10年以上。
关键词:
诊疗时间:8:30-20:00 咨询时间:8:00-23:00
相关阅读

您目前所在的位置:













西安店 
