圣贝牙科为圣贝口腔医院重金打造的旗舰医院,是按照三级口腔专科医院和五星级健康会所标准建设……【详细】
自助挂号
免专家挂号费,享优先就诊
免费口腔拍片检查
(成功预约后,我们将尽快回访)
特色技术
牙齿偏黄 牙缝较大 圣贝亲贝定制牙美容来解决
时间:2014-01-17 11:08 来源:西安圣贝牙科医院 点击:
患者情况
【患者信息】
姓名:杜女士
年龄:31岁
职业:白领
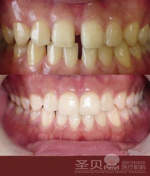
牙齿状况:牙齿颜色偏黄,前牙间隙也较大
主治医师:多伦.鲍尔
姓名:杜女士
年龄:31岁
职业:白领
牙齿状况:牙齿颜色偏黄,前牙间隙也较大
主治医师:多伦.鲍尔
治疗方案
治疗方案:杜女士在网上预约的是西安圣贝牙科的美学修复专家多伦.鲍尔,吴医生为杜女士做了详细的口腔检查,也结合了杜女士想要达到的效果,给杜女士推荐的Prussian亲贝定制美容系统技术,杜女士欣然接受了。
【案例回顾】
31岁的杜小姐工作稳定,有一个和睦的家庭还有一个可爱的女儿,但是杜小姐还是经常因为社交而不开心。并不是因为性格内向而是因为这口难看的牙齿,牙齿颜色偏黄,前牙间隙也较大,由于小时候拔牙一直惧怕看牙。有天在上网的时候无意间看到西安圣贝牙科医院的暑期美牙计划,就在网上咨询了在线专家,杜女士对Prussian亲贝定制美容系统技术很感兴趣,于是,预约了专家号第二天就去圣贝看牙了。

31岁的杜小姐工作稳定,有一个和睦的家庭还有一个可爱的女儿,但是杜小姐还是经常因为社交而不开心。并不是因为性格内向而是因为这口难看的牙齿,牙齿颜色偏黄,前牙间隙也较大,由于小时候拔牙一直惧怕看牙。有天在上网的时候无意间看到西安圣贝牙科医院的暑期美牙计划,就在网上咨询了在线专家,杜女士对Prussian亲贝定制美容系统技术很感兴趣,于是,预约了专家号第二天就去圣贝看牙了。
术后效果
经过Prussian亲贝定制美容系统的技术后,根据杜女士的要求调整了Prussian亲贝定制美容系统的外源色关闭了前牙间隙,效果良好。
技术推荐——Prussian亲贝定制美容系统
就是用黏结技术将很薄的人工瓷修复体固定于患牙外侧的一种修复办法,打个比方,就是给变色和轻微畸形的牙齿穿上漂亮的“瓷”外衣,Prussian亲贝定制美容系统贵不贵和Prussian亲贝定制美容系统的种类有关,种类不同,Prussian亲贝定制美容系统贵不贵就不同。
Prussian亲贝定制美容系统适用对象:四环素牙、氟斑牙、死髓牙、外伤导致牙釉质轻中度缺损或者牙釉质先天发育不良,都可以采用Prussian亲贝定制美容系统。而且,Prussian亲贝定制美容系统不仅能为变色牙齿美容,还能矫正牙齿畸形,比如轻度的错位牙、移位牙、畸形牙、牙间隙比较大等。
技术推荐——Prussian亲贝定制美容系统
就是用黏结技术将很薄的人工瓷修复体固定于患牙外侧的一种修复办法,打个比方,就是给变色和轻微畸形的牙齿穿上漂亮的“瓷”外衣,Prussian亲贝定制美容系统贵不贵和Prussian亲贝定制美容系统的种类有关,种类不同,Prussian亲贝定制美容系统贵不贵就不同。
Prussian亲贝定制美容系统适用对象:四环素牙、氟斑牙、死髓牙、外伤导致牙釉质轻中度缺损或者牙釉质先天发育不良,都可以采用Prussian亲贝定制美容系统。而且,Prussian亲贝定制美容系统不仅能为变色牙齿美容,还能矫正牙齿畸形,比如轻度的错位牙、移位牙、畸形牙、牙间隙比较大等。
关键词: 牙齿偏黄,牙缝较大
诊疗时间:8:30-20:00 咨询时间:8:00-23:00
相关阅读

您目前所在的位置:













西安店 
