圣贝牙科为圣贝口腔医院重金打造的旗舰医院,是按照三级口腔专科医院和五星级健康会所标准建设……【详细】
自助挂号
免专家挂号费,享优先就诊
免费口腔拍片检查
(成功预约后,我们将尽快回访)
特色技术
舒适镶牙减轻不必要的痛苦
时间:2013-11-06 08:11 来源:未知 点击:
患者情况
【患者简介】
姓名:吴小姐
年龄:26岁
症状:牙齿缺失
主治医师:陈家富
治疗项目:无痛镶牙技术
检查分析:为吴小姐做了全面的口腔检查,发现吴小姐除了牙齿缺失之外,其他的牙齿都没有太大问题,符合做镶牙的条件。
治疗方案
【案例回顾】
吴小姐随着年龄的增长,自己的牙齿也开始变得不怎么好用了。有次自己在吃饭的时候,由于自己的不小心使得自己的一颗牙齿出现了脱落。牙齿掉落之后,吴小姐的生活也跟着发生了改变。以前自己喜欢吃的东西现在都不怎么敢吃了,而且也变得没有什么胃口,每次看到桌子上的饭菜时,吴小姐都显得没有什么食欲。而且牙齿的缺失也让吴小姐变得不怎么爱说话了,因为一说话就会露出自己牙齿缺失的空隙,很影响自己的牙齿美观,而且说话的时候还会出现漏风的现象,给吴小姐的生活带来了诸多的不便。

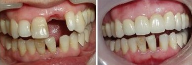
吴小姐镶牙前后对比
镶牙,有效修复牙齿缺失
后来,吴小姐在家里人的建议下,来到了西安圣贝国际牙科医院。西安圣贝国际牙科医院的专家为吴小姐做了牙齿的全面检查,发现吴小姐的牙齿只是缺失了两颗牙齿,牙齿没有什么炎症。于是建议吴小姐通过镶牙来对缺失的牙齿进行修复治疗。镶牙不仅可以有效的修复缺失的牙齿,而且基本上跟真牙没有什么区别,牙齿的功能性好。
术后效果
现在,吴小姐缺失的牙齿已经得到了有效的修复治疗,而且牙齿的功能非常的好,并没有佩戴假牙的不舒服感。现在吴小姐再也不要因为牙齿的缺失而感到苦恼了,而且自己现在也可以开口笑了。吴小姐对自己的这次镶牙效果感到非常的满意。
西安圣贝国际牙科医院的专家介绍到:
牙齿如果出现了缺失,还是要尽早的去医院进行修复治疗。在选择医院时,一定要选择专业正规的口腔医院,以保证镶牙的安全与效果。西安圣贝国际牙科医院坐诊专家有着十余年的经验,引进先进的镶牙材料,保证镶牙的安全与效果。
诊疗时间:8:30-20:00 咨询时间:8:00-23:00
相关阅读

您目前所在的位置:













西安店 
