圣贝牙科为圣贝口腔医院重金打造的旗舰医院,是按照三级口腔专科医院和五星级健康会所标准建设……【详细】
自助挂号
免专家挂号费,享优先就诊
免费口腔拍片检查
(成功预约后,我们将尽快回访)
特色技术
牙齿缺损修复案例
时间:2017-07-20 14:11 来源:未知 点击:
患者情况
【患者信息】
化名:玲玲
年龄:28
职业:空姐
牙齿缺陷:牙齿缺损
治疗方案:Cerec5D美容冠
化名:玲玲
年龄:28
职业:空姐
牙齿缺陷:牙齿缺损
治疗方案:Cerec5D美容冠
治疗方案
【案例回放】
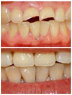
每当我跟别个说起我的职业,别人都投来羡慕的眼光。可是对作为一名称职的空姐来说拥有美丽的笑容我们最好的代言。然而,我却在这方面无缘,只要我一笑缺损的牙齿就露出了,让我的笑容凝固了,即使偶尔的微笑,也显得有些拘束,生怕挑剔的乘客发现我的这个小瑕疵,成为笑柄。

牙齿缺损修复前后对比图
有一次一位很热心的美国乘客告诉我,在他们美国对牙齿的美观是非常看重的,对于一些不整齐不健康的牙齿他们都要去做保健矫正,这个数量已经达到了90%。他还告诉我,他都做了牙齿的,做的就是我们中国这边所说的美容冠,以前他也是由于牙齿不整齐不爱笑,给人一点也没有亲和力。自从矫正后对生活的态度就完全改变了。
这番话让我铭记于心,我当时心想一定要找一家可以做美容冠的医院,把我的牙齿矫正过来。后来在听说西安圣贝牙科医院美容冠做的不错,我当时就立即去核实这件事情。当我了解到,原来就是离我家不远,我立即去了医院,看看是否符合条件。
没想到医生看了我的情况后,说可以的,在短时间类也给我安排了手术。整个手术时间也不长1个小时就能完成。主要是设计我牙齿建模的时候比较费时。
每当我跟别个说起我的职业,别人都投来羡慕的眼光。可是对作为一名称职的空姐来说拥有美丽的笑容我们最好的代言。然而,我却在这方面无缘,只要我一笑缺损的牙齿就露出了,让我的笑容凝固了,即使偶尔的微笑,也显得有些拘束,生怕挑剔的乘客发现我的这个小瑕疵,成为笑柄。

牙齿缺损修复前后对比图
这番话让我铭记于心,我当时心想一定要找一家可以做美容冠的医院,把我的牙齿矫正过来。后来在听说西安圣贝牙科医院美容冠做的不错,我当时就立即去核实这件事情。当我了解到,原来就是离我家不远,我立即去了医院,看看是否符合条件。
没想到医生看了我的情况后,说可以的,在短时间类也给我安排了手术。整个手术时间也不长1个小时就能完成。主要是设计我牙齿建模的时候比较费时。
术后效果
如今的我,我自己都觉得好漂亮,牙齿洁白整齐不说,真的就如老外所说的变得好有亲和力。生活真的不一样了。我真的很感谢圣贝牙科医院,让我可以笑得如此漂亮。
诊疗时间:8:30-20:00 咨询时间:8:00-23:00
相关阅读
- · 林小姐门牙龋坏烤瓷牙修复案例
- · 杨小姐牙冠折断修复案例
- · 陈先生烤瓷牙失败修复案例
- · 烤瓷牙绷瓷修复案例
- · 烤瓷牙失败修复成功案例
- · 牙缝稀疏修复案例
- · 美容冠修复缺损牙案例
- · 全瓷牙修复牙齿案例
- · 全瓷牙修复案例
- · 牙齿断裂修复案例
- · 林小姐牙齿缺损修复案例
- · 龚先生门牙畸形修复案例

您目前所在的位置:













西安店 
