圣贝牙科为圣贝口腔医院重金打造的旗舰医院,是按照三级口腔专科医院和五星级健康会所标准建设……【详细】
自助挂号
免专家挂号费,享优先就诊
免费口腔拍片检查
(成功预约后,我们将尽快回访)
特色技术
牙齿断裂修复案例
时间:2017-07-19 13:39 来源:未知 点击:
患者情况
【患者简介】
姓名:张小姐
年龄:25岁
症状:牙齿断裂
主治医师:王辉
治疗项目:全瓷牙修复技术
检查分析:为张小姐做了全面的口腔检查,发现张小姐的牙齿断裂但牙根完好,建议做全瓷牙修复。
治疗方案
【案例回顾】
今年25岁的张小姐,在一次意外中受撞击的影响导致了门牙意外的断裂。牙冠断裂后张小姐很是着急,自己年纪轻轻的,正面临找工作的事,心里十分焦急。在几番打听后听说目前修复牙齿折断的案例还是很多的,多方了解之后的张小姐选择去有四医大专家团坐诊的西安圣贝口腔医院医院。

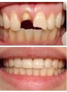
张小姐牙齿修复前后效果对比图
圣贝牙科为您修复断牙
王辉副教授接待了她并进行了诊断:经过检查,发现张小姐的牙齿因为受到外力的情况导致了牙冠折断,首先是经拍片后观察到患者的牙根完好,没有受到任何的牙周疾病的影响。
向张小姐推出了具体的治疗方案:牙冠断裂部分多,牙髓已经外露,因此需要先做根管填充,观察两周后在做全瓷牙冠。王辉副教授说全瓷牙戴上后可以和真牙相媲美。其次是全瓷牙修复的牙齿可以保留着原先的牙根,免受拔牙的痛苦。
术后效果
张小姐做完了全瓷牙的修复,张小姐说我这次就不用忍受断牙给我带了的影响了。
四医大王辉副教授讲到
全瓷牙无厚重感,无牙龈红肿出血现象,就好像真长出来的牙一样;做全瓷牙的时候对其他自然牙磨损少;具有完美的生物相容性,做了全瓷牙完全不用担心会有瓷崩裂的现象。
诊疗时间:8:30-20:00 咨询时间:8:00-23:00
相关阅读
- · 林小姐门牙龋坏烤瓷牙修复案例
- · 杨小姐牙冠折断修复案例
- · 陈先生烤瓷牙失败修复案例
- · 烤瓷牙绷瓷修复案例
- · 烤瓷牙失败修复成功案例
- · 牙缝稀疏修复案例
- · 美容冠修复缺损牙案例
- · 全瓷牙修复牙齿案例
- · 全瓷牙修复案例
- · 林小姐牙齿缺损修复案例
- · 龚先生门牙畸形修复案例
- · 蒋太太美容冠修复案例

您目前所在的位置:













西安店 
