圣贝牙科为圣贝口腔医院重金打造的旗舰医院,是按照三级口腔专科医院和五星级健康会所标准建设……【详细】
自助挂号
免专家挂号费,享优先就诊
免费口腔拍片检查
(成功预约后,我们将尽快回访)
特色技术
龚先生门牙畸形修复案例
时间:2017-07-20 16:02 来源:未知 点击:
患者情况
【患者信息】
姓名:龚先生
年龄:30岁
籍贯:四川西安
职业:软件开发工程师
牙齿问题:门牙畸形,颜色黑。
治疗方案:Cerec5D美容冠
主治医生:贾鸿飞
姓名:龚先生
年龄:30岁
籍贯:四川西安
职业:软件开发工程师
牙齿问题:门牙畸形,颜色黑。
治疗方案:Cerec5D美容冠
主治医生:贾鸿飞
治疗方案
【案例回顾】

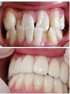
门牙畸形修复前后对比图

门牙畸形修复前后对比图
龚先生在一家软件公司上班,从事软件开发工程师的职位,工资收入也挺高的,个子身高都挺搭配的,但是就是还没有一个女朋友,每次向女孩表白,也都被人拒绝了,原因就是他的牙齿长的特别难看,而且牙齿颜色也发黑的,后来听到朋友说了原因之后,就去了朋友推荐的西安圣贝牙科医院整治牙齿。
圣贝专家贾鸿飞医生给龚先生的牙齿做了详细的检查,最终决定给龚先生做牙齿美容冠。龚先生的牙齿是有两颗门牙形态畸形,牙齿颜色黑,而Cerec5D美容冠对于牙齿不齐是非常有效的。
圣贝专家贾鸿飞医生给龚先生的牙齿做了详细的检查,最终决定给龚先生做牙齿美容冠。龚先生的牙齿是有两颗门牙形态畸形,牙齿颜色黑,而Cerec5D美容冠对于牙齿不齐是非常有效的。
术后效果
美容冠治疗后,龚先生的牙齿色泽逼真,牙齿更加的美观,整个人看起来比以前精神多了。后来向喜欢的女孩表白,女孩也都接受了。
诊疗时间:8:30-20:00 咨询时间:8:00-23:00
相关阅读

您目前所在的位置:













西安店 
