圣贝牙科为圣贝口腔医院重金打造的旗舰医院,是按照三级口腔专科医院和五星级健康会所标准建设……【详细】
自助挂号
免专家挂号费,享优先就诊
免费口腔拍片检查
(成功预约后,我们将尽快回访)
特色技术
张小姐氟斑牙美白案例
时间:2017-07-20 15:56 来源:未知 点击:
患者情况
【患者信息】
姓名:张小姐
职业:企业白领
牙齿症状:氟斑牙,牙齿不齐
治疗方案:采用德国Cerec5D美容冠
主治医生:贾鸿飞
姓名:张小姐
职业:企业白领
牙齿症状:氟斑牙,牙齿不齐
治疗方案:采用德国Cerec5D美容冠
主治医生:贾鸿飞
治疗方案
【案例回顾】
说起西安某大型企业的白领张小姐,她的生活原本可以说是让人羡慕的,张小姐工作顺利,收入稳定,还有一个即将谈婚论嫁的未婚夫,以及一群真心相待的好朋友。
但是最近张小姐却有些烦恼了,原因是上次朋友小聚商量张小姐婚礼的事,突然有个人说到了张小姐的牙齿问题。张小姐是个漂亮大方的女孩,可就是牙齿又黄又不齐的,每次张开嘴总是会让人“惊讶”,这么可爱的女孩居然有这么一副难看的牙齿。

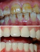
张小姐美牙前后对比图
张小姐想到自己要这副黄牙的办婚礼,自己也不乐意了,毕竟一辈子只有一次的事情,每个新娘都想在那天是最漂亮的。于是姐妹团开始上网搜寻,发现西安圣贝牙科医院不仅规模好,而且引进的设备都是国外最先进的,于是建议张小姐来这试试。
之后在圣贝的牙齿修复医生贾鸿飞的检查下,发现张小姐是氟斑牙,应该是生活在高氟地区,长期用含氟牙膏的结果。建议张小姐用最新的德国Cerec5D美容冠技术修复氟斑牙。
贾鸿飞医生告诉张小姐,德国Cerec5D美容冠采用5D数码定位系统精确分析你的牙齿形态以及病症,成形后的牙齿形态完美,能够美白黄牙、四环素牙、氟斑牙等,通过不同牙色层次化类比,色泽自然,快速美白牙齿,还能矫正不齐的牙齿。在听了贾鸿飞医生的详细解说之后,张小姐接受了美容冠牙齿修复术。
说起西安某大型企业的白领张小姐,她的生活原本可以说是让人羡慕的,张小姐工作顺利,收入稳定,还有一个即将谈婚论嫁的未婚夫,以及一群真心相待的好朋友。
但是最近张小姐却有些烦恼了,原因是上次朋友小聚商量张小姐婚礼的事,突然有个人说到了张小姐的牙齿问题。张小姐是个漂亮大方的女孩,可就是牙齿又黄又不齐的,每次张开嘴总是会让人“惊讶”,这么可爱的女孩居然有这么一副难看的牙齿。

张小姐美牙前后对比图
之后在圣贝的牙齿修复医生贾鸿飞的检查下,发现张小姐是氟斑牙,应该是生活在高氟地区,长期用含氟牙膏的结果。建议张小姐用最新的德国Cerec5D美容冠技术修复氟斑牙。
贾鸿飞医生告诉张小姐,德国Cerec5D美容冠采用5D数码定位系统精确分析你的牙齿形态以及病症,成形后的牙齿形态完美,能够美白黄牙、四环素牙、氟斑牙等,通过不同牙色层次化类比,色泽自然,快速美白牙齿,还能矫正不齐的牙齿。在听了贾鸿飞医生的详细解说之后,张小姐接受了美容冠牙齿修复术。
术后效果
当天做完手术后,张小姐的牙齿就立刻变的整齐洁白了,看着口中严丝合缝的皓齿,张小姐整个人激动的满脸绯红,现在,张小姐已经完全适应了口中的美容冠,并且这次的美牙经历一点没有耽误自己准备婚礼的过程。现在张小姐终于可以美美的嫁人了!
诊疗时间:8:30-20:00 咨询时间:8:00-23:00
相关阅读

您目前所在的位置:













西安店 
