圣贝牙科为圣贝口腔医院重金打造的旗舰医院,是按照三级口腔专科医院和五星级健康会所标准建设……【详细】
自助挂号
免专家挂号费,享优先就诊
免费口腔拍片检查
(成功预约后,我们将尽快回访)
特色技术
杨小姐牙冠折断修复案例
时间:2017-07-19 11:20 来源:未知 点击:
患者情况
【患者信息】
姓名:杨小姐
年龄:23
职业:毕业生
牙齿症状:牙冠折断
治疗方案:德国Cerec5D美容冠
治疗医生:赵三军
姓名:杨小姐
年龄:23
职业:毕业生
牙齿症状:牙冠折断
治疗方案:德国Cerec5D美容冠
治疗医生:赵三军
治疗方案
【案例回顾】
杨小姐今年23岁,在一次意外中受撞击的影响导致了牙齿意外的折裂。牙冠折断后杨小姐十分着急,自己年纪轻轻的,正面临毕业的她马上就要开始找工作了,心里十分焦急。在几番打听后听说目前做美容冠修复牙齿折断效果不错。于是,杨小姐便在网上找了几家比较好的医院,最后,杨小姐选择了西安圣贝牙科医院,杨小姐通过网上预约来到医院,为杨小姐接诊的医生是四医大修复科副主任医师赵三军教授。
杨小姐今年23岁,在一次意外中受撞击的影响导致了牙齿意外的折裂。牙冠折断后杨小姐十分着急,自己年纪轻轻的,正面临毕业的她马上就要开始找工作了,心里十分焦急。在几番打听后听说目前做美容冠修复牙齿折断效果不错。于是,杨小姐便在网上找了几家比较好的医院,最后,杨小姐选择了西安圣贝牙科医院,杨小姐通过网上预约来到医院,为杨小姐接诊的医生是四医大修复科副主任医师赵三军教授。

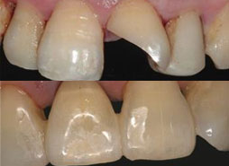
美容冠修复前后对比图
杨小姐向赵医生讲述了自己折牙的经过,此时的赵医生为杨小姐的口腔做的详细的检查,首先是经口腔CT机检查后观察到患者的牙根完好,没有受到任何的牙周疾病的影响。赵三军医生建议杨小姐做美容冠修复。杨小姐便很爽快的接受了赵医生的建议决定做美容冠修复。短短45分钟时间,杨小姐的断牙就修复好了,看上去跟真牙没什么区别,杨小姐对于这个效果非常满意,一再感谢圣贝。术后效果
现在杨小姐再也不用为牙齿的问题而感到烦恼了,现在功效的牙齿和以前的牙齿一样漂亮,完全看不到有补过的痕迹,面临找工作的她,也是事业一帆风顺。
专家评价:这是一例非常典型的牙冠折裂修复案例,通过这个案例我们可以看到利用美容冠修复牙齿的优势之处,首先可以完全肯定的是牙冠的自然性,戴上后可以和真牙相媲美。其次是美容冠修复的牙齿可以保留着原先的牙根,免受拔牙的痛苦,这也是选择做美容冠冠的优势之处。
专家评价:这是一例非常典型的牙冠折裂修复案例,通过这个案例我们可以看到利用美容冠修复牙齿的优势之处,首先可以完全肯定的是牙冠的自然性,戴上后可以和真牙相媲美。其次是美容冠修复的牙齿可以保留着原先的牙根,免受拔牙的痛苦,这也是选择做美容冠冠的优势之处。
关键词: 牙冠折断
诊疗时间:8:30-20:00 咨询时间:8:00-23:00
相关阅读

您目前所在的位置:













西安店 
