圣贝牙科为圣贝口腔医院重金打造的旗舰医院,是按照三级口腔专科医院和五星级健康会所标准建设……【详细】
自助挂号
免专家挂号费,享优先就诊
免费口腔拍片检查
(成功预约后,我们将尽快回访)
特色技术
嘴型不对称 美容冠只需45分钟
时间:2013-10-10 14:38 来源:未知 点击:
患者情况
【个人档案】
姓名:小林
年龄:26岁
职业:国企职工
修复项目:德国Cerec5D美容冠
主治医生:赵堂民
姓名:小林
年龄:26岁
职业:国企职工
修复项目:德国Cerec5D美容冠
主治医生:赵堂民
治疗方案
【术前自述】
我叫小林,从小的饮食习惯不是很好,而且当初没有及时的拔牙造成牙齿的参差不齐,后来更是发现自己的嘴型不对称,很后悔当初怕疼不让拔牙,造成了原有的牙齿把新牙都给顶歪了。看了很多医院只能进行钢牙矫正,但是我觉得2-3年的时间才能恢复,实在太慢了。因此我到了当地口碑最好的西安圣贝牙科医院寻医问诊。

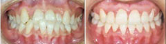
牙齿修复前后对比图
【整形日记】
2012年10月7日
今天我踏入了西安圣贝牙科医院,那里的工作人员亲切地接待了我,并带我去见了知名的口腔修复专家,根据我要短时间内就要看到修复效果的要求,他给我介绍只需1小时就可以矫正的美容冠,当时我十分的兴奋,原想整我这口牙起码也要花上一个月的时间。
专家带我去进行牙齿的检测,并给我看口腔修复设计的具体方案。在护理人员的引导下,我进了牙科施诊室,打了麻药后,我就趁这段时间小睡了会。当我醒来时,专家表示:手术很成功,我也心中大石也落下了。术后护理人员也细心提醒我术后注意的几个要点。
我叫小林,从小的饮食习惯不是很好,而且当初没有及时的拔牙造成牙齿的参差不齐,后来更是发现自己的嘴型不对称,很后悔当初怕疼不让拔牙,造成了原有的牙齿把新牙都给顶歪了。看了很多医院只能进行钢牙矫正,但是我觉得2-3年的时间才能恢复,实在太慢了。因此我到了当地口碑最好的西安圣贝牙科医院寻医问诊。

牙齿修复前后对比图
2012年10月7日
今天我踏入了西安圣贝牙科医院,那里的工作人员亲切地接待了我,并带我去见了知名的口腔修复专家,根据我要短时间内就要看到修复效果的要求,他给我介绍只需1小时就可以矫正的美容冠,当时我十分的兴奋,原想整我这口牙起码也要花上一个月的时间。

术后效果
2012年10月15日

不仅牙齿变整齐了,而起脸型也对称了,平时很淡定的我,现在也有了一种如沐春风的感觉!

关键词: 牙齿畸形
诊疗时间:8:30-20:00 咨询时间:8:00-23:00
相关阅读

您目前所在的位置:













西安店 
