圣贝牙科为圣贝口腔医院重金打造的旗舰医院,是按照三级口腔专科医院和五星级健康会所标准建设……【详细】
自助挂号
免专家挂号费,享优先就诊
免费口腔拍片检查
(成功预约后,我们将尽快回访)
特色技术
林小姐门牙龋坏烤瓷牙修复案例
时间:2013-11-01 16:34 来源:未知 点击:
患者情况
【患者信息】
姓名:林女士
年龄:30
职业:客户经理
症状:门牙龋坏
治疗方案:烤瓷牙
主治医生:赵堂民
姓名:林女士
年龄:30
职业:客户经理
症状:门牙龋坏
治疗方案:烤瓷牙
主治医生:赵堂民
治疗方案
【案例回顾】
林女士今年30岁了,最近荣升为公司的客户经理,事业的成就让林女士一下子对自己的公关形象要求严格起来。当务之急最想要解决的就是门牙龋坏的问题。同事介绍林女士去做烤瓷牙,抱着试试看的心态林女士来到了西安圣贝牙科医院。这里的医生护士都很随和,给我看牙的医生是圣贝有名的牙科专家赵堂民医生。赵医生为我详细检查了我的口腔状况推荐我做烤瓷牙。

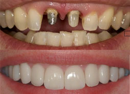
林小姐门牙龋坏烤瓷牙修复前后对比图
林女士今年30岁了,最近荣升为公司的客户经理,事业的成就让林女士一下子对自己的公关形象要求严格起来。当务之急最想要解决的就是门牙龋坏的问题。同事介绍林女士去做烤瓷牙,抱着试试看的心态林女士来到了西安圣贝牙科医院。这里的医生护士都很随和,给我看牙的医生是圣贝有名的牙科专家赵堂民医生。赵医生为我详细检查了我的口腔状况推荐我做烤瓷牙。

林小姐门牙龋坏烤瓷牙修复前后对比图
赵医生指出,德国Cerec5D烤瓷牙主要适用于牙齿缺失、变色牙、四环素牙、氟牙症、发育畸形的小牙,患者林女士的顾虑就是解决过小牙的问题,针对林女士的症状,医院为林女士量身制定了一套烤瓷牙修复方案。林女士听取了李医生的建议,选择做烤瓷牙。
术后效果
手术后:
经过1小时的修复后,终于成功了,林女士拿起镜子激动的愣住了,对圣贝国际牙科也是万分的感谢。在公司里面的形象有了很大的提升。现在林女士再也不用为她的公关形象所担心了。
专家点评:林女士在没做烤瓷牙前,牙齿过小,对她的整体形象也是有一定影响的,通过在我院做烤瓷牙之后,林女士对她现在的牙齿非常满意。
经过1小时的修复后,终于成功了,林女士拿起镜子激动的愣住了,对圣贝国际牙科也是万分的感谢。在公司里面的形象有了很大的提升。现在林女士再也不用为她的公关形象所担心了。
专家点评:林女士在没做烤瓷牙前,牙齿过小,对她的整体形象也是有一定影响的,通过在我院做烤瓷牙之后,林女士对她现在的牙齿非常满意。
上一篇:嘴型不对称 美容冠只需45分钟
下一篇:没有了
下一篇:没有了
诊疗时间:8:30-20:00 咨询时间:8:00-23:00
相关阅读
- · 杨小姐牙冠折断修复案例
- · 林小姐牙齿缺损修复案例
- · 张小姐氟斑牙美白案例

您目前所在的位置:













西安店 
