圣贝牙科为圣贝口腔医院重金打造的旗舰医院,是按照三级口腔专科医院和五星级健康会所标准建设……【详细】
自助挂号
免专家挂号费,享优先就诊
免费口腔拍片检查
(成功预约后,我们将尽快回访)
特色技术
林小姐牙齿缺损修复案例
时间:2013-10-11 08:52 来源:未知 点击:
患者情况
【患者简介】
姓名:林小姐
年龄:32岁
症状:牙齿缺损
主治医师:郭家平
治疗项目:无痛根管治疗技术
检查分析:为林小姐做了全面的口腔检查,发现林小姐除了牙齿缺损之外,其他牙齿还比较健康,需要做根管治疗加牙齿修复。
治疗方案
【案例回顾】
林小姐如今32岁在一家外资公司任高管,事业小有成就,但每当林小姐对着镜子看着自己门牙的时候,总是不由自主的想起小时候的那一次不小心,将门牙给碰掉了半颗的情景。如今在外资企业工作,虽然有丰厚的薪水,但缺失的门牙,总是林小姐心头挥之不去的阴影。
于是林小姐决定要去做一次补牙治疗。通过在网络上搜索相关口腔治疗的专科门诊信息,并认真比对后,选择了来西安圣贝国际牙科医院来进行治疗,林小姐便在网上预约了具体的治疗时间。林小姐按照预约的时间来到了西安圣贝国际牙科医院,医院的郭医生接待了她。

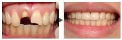
林小姐牙齿缺损修复对比前后图
郭医生先为林小姐拍了一个口腔全景的片子,检查之后告诉林小姐说您的牙根已经有点隐裂的现象,先得给你进行牙齿的拔除然后再为您做种植牙,隔一段时间在做牙冠的修复。林小姐听到这里就非常的担心因为林小姐非常的怕疼,她不想拔除牙根,郭医生对她进行了一番的劝说,郭医生说我可以利用无痛拔牙术给您进行牙齿的拔除然后再做种植牙。林小姐听后便同意了郭医生的建议。
术后效果
郭医生先是为林小姐做了牙根的拔除,然后又利用了即刻种植技术为林小姐做了牙齿的修复,没过多长时间就为林小姐做完了牙齿的修复。林小姐看到自己修复后的牙齿是非常的高兴,林小姐说我这一次又可以张口大笑了。
圣贝牙科专家说
西安圣贝国际牙科医院的郭医生说牙齿缺失了一定要赶快的进行牙齿的修复,做牙齿修复的时候一定要到正规的口腔医院进行治疗。
诊疗时间:8:30-20:00 咨询时间:8:00-23:00
相关阅读

您目前所在的位置:













西安店 
