圣贝牙科为圣贝口腔医院重金打造的旗舰医院,是按照三级口腔专科医院和五星级健康会所标准建设……【详细】
自助挂号
免专家挂号费,享优先就诊
免费口腔拍片检查
(成功预约后,我们将尽快回访)
特色技术
牙缝稀疏修复案例
时间:2017-07-20 15:52 来源:未知 点击:
患者情况
【患者简介】
姓名:杨先生
年龄:36岁
症状:牙齿牙缝大,而且比较稀疏
主治医师:贾鸿飞
治疗项目:瓷贴面修复技术
检查分析:为杨先生做了全面的口腔检查,发现杨先生天生比较稀疏,其牙齿和口腔都是健康的,建议做瓷贴面修复无需拔牙。
治疗方案
【案例回顾】
杨先生今年36岁了,杨先生说我自从换了牙齿之后,我的牙齿就非常的小,使得牙缝之间就隔着很大的距离。随着年龄的增长,而我的牙齿还是那么小,那么的稀疏。上学的那会还没感觉怎么样,但是自从工作了我就感觉出来了。
走向社会的人都是非常爱美的我也不例外,由于我牙齿稀疏的原因我都不敢再别人面前大声的讲话,我怕我讲话别人会笑话我,时间一长大家都不太爱和我说话了。有一次我听到同事们在那拿我的牙齿开玩笑,这让我很是受伤,于是我下定决心我要把这可恶的牙齿稀疏问题给解决掉。

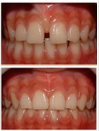
杨先生牙齿修复前后对比
瓷贴面帮您解决牙齿稀疏
我便四处打听治疗牙齿稀疏的方法,经过一番的打听终于有了理想的结果。一个朋友给我说西安圣贝牙科医院的瓷贴面可以解决你这种牙齿稀疏的问题,我用诧异的眼神看着她,她说你不信可以上网查查。于是我就在网上进行了查找,发现这种技术正好对我的症状于是我就在网上进行了预约。
杨先生如期来到了西安圣贝牙科医院,贾鸿飞医生先是我给进行了口腔的清洗,这样做是为了把细菌和牙垢清洗掉为瓷贴面的粘贴做基础,不一会的时间贾鸿飞医生就给我做完了。
术后效果
我真的不敢相信我看到的结果,我的牙齿变的比以前更洁白更整齐了。我非常的感谢西安圣贝牙科医院。
圣贝牙科专家说
贾鸿飞医生说瓷贴面采用最先进的粘结技术,在保存活髓、磨损小的情况下,将牙齿表面磨除一层后,用专用瓷性材料覆盖、粘贴到牙齿上,以恢复牙体的正常形态和改善其色泽,通过瓷贴面起到美容的作用。全瓷贴面具有牙齿磨损少,效果自然逼真而被众多爱美人士广为接受。
诊疗时间:8:30-20:00 咨询时间:8:00-23:00
相关阅读
- · 林小姐门牙龋坏烤瓷牙修复案例
- · 杨小姐牙冠折断修复案例
- · 陈先生烤瓷牙失败修复案例
- · 烤瓷牙绷瓷修复案例
- · 烤瓷牙失败修复成功案例
- · 美容冠修复缺损牙案例
- · 全瓷牙修复牙齿案例
- · 全瓷牙修复案例
- · 牙齿断裂修复案例
- · 林小姐牙齿缺损修复案例
- · 龚先生门牙畸形修复案例
- · 蒋太太美容冠修复案例

您目前所在的位置:













西安店 
