圣贝牙科为圣贝口腔医院重金打造的旗舰医院,是按照三级口腔专科医院和五星级健康会所标准建设……【详细】
自助挂号
免专家挂号费,享优先就诊
免费口腔拍片检查
(成功预约后,我们将尽快回访)
特色技术
全瓷牙修复牙齿案例
时间:2017-07-19 13:19 来源:未知 点击:
患者情况
【患者简介】
姓名:张先生
年龄:51岁
症状:牙齿自然脱落
主治医师:赵三军
治疗项目:全瓷牙修复技术
检查分析:为张先生做了全面的口腔检查,发现张先生的牙齿缺损但牙根完好,口腔也是健康的,建议做全瓷牙修复。
治疗方案
【案例回顾】
张先生,今年51岁。最近一直为牙齿的事情烦恼。因为张先生的几颗牙齿脱落了,这让张先生在吃饭的过程中也成了问题,于是张先生在一家门诊做了镶牙,这样改善了口腔的基本状况。
过了一段时间张先生发现又有几颗牙齿开始脱落,并且镶的牙还出现了一股异味,这让张先生非常的苦恼。张先生经过多方打听,都说西安圣贝口腔医院在口腔治疗方面不论是设备还是技术,还有四医大的专家团队坐诊,让人非常的信赖。于是张先生就在西安圣口腔医院的官网上进行了预约。

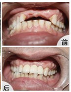
张大爷修复前后对比图
四医大赵三军副教授接待了他,先是为张先生做了一个口腔检查,发现张先生的口腔健康状况非常的糟糕。先是给张先生把以前镶的牙给拿下来了,然后利用超声波洗牙技术给张先生进行了洗牙,洗牙的目的是为了把那个牙菌斑去掉,然后赵三军医生为张先生推荐了全瓷牙。
赵三军副教授医生说全瓷牙比其他的材料要好,不会出现牙龈发黑,有异味的现象出现。张先生听了立即接受了赵副教授的建议做了全瓷牙。
术后效果
做完全瓷牙之后张先生说全瓷牙就是比别的材料好。在张先生走的时候张三军副教授说你要不定期的进行洗牙,这样才能保持口腔的健康,全瓷牙使用起来也长久。
专家讲解全瓷牙
四医大赵三军副教授说全瓷牙是目前全球公认的最高端的修复体,它的出现弥补了多年来传统烤瓷牙美观不足上的空缺。现在,在注重牙齿美观的前提下,更强调牙齿结构天然、完整,与口腔各部的高度生物相容,利用健康环保的仿生材料,塑造与真牙一样美观自然的牙齿,让你轻松绽放靓丽笑容。张医生说全瓷牙具有美观逼真,无厚重感,也不会出现瓷崩裂的情况等优势。
关键词:
诊疗时间:8:30-20:00 咨询时间:8:00-23:00
相关阅读
- · 林小姐门牙龋坏烤瓷牙修复案例
- · 杨小姐牙冠折断修复案例
- · 陈先生烤瓷牙失败修复案例
- · 烤瓷牙绷瓷修复案例
- · 烤瓷牙失败修复成功案例
- · 牙缝稀疏修复案例
- · 美容冠修复缺损牙案例
- · 全瓷牙修复案例
- · 牙齿断裂修复案例
- · 林小姐牙齿缺损修复案例
- · 张小姐氟斑牙美白案例
- · 龚先生门牙畸形修复案例

您目前所在的位置:













西安店 
