地址:【西安市莲湖区丰登南路2号公园国际一楼】
全国免费电话:029-81327105
我们健康的牙龈都是好看的粉红色,要是发现牙龈颜色发黑的话,很有可能是口腔疾病的表现。
牙龈颜色发黑,如果是伴随有牙周炎症的牙龈萎缩症状,广大患者朋友一定要给予足够的重视,因为这很有可能是牙龈炎症的信号。
①牙周炎和牙龈炎是较直接导致牙龈变黑的原因,而牙菌斑、牙结石是引发牙龈炎和牙周病较根本的因素之一。
②牙龈发黑,还有一种原因就是龋齿、蛀牙导致的,龋坏严重的话,牙齿牙髓可能已经病变坏死,因此容易发生牙体变色,染色的问题。
③牙龈变黑有一些其他因素,比如吸烟,义齿,补牙,妊娠,内分泌失调,维生素缺乏都会引起牙龈变黑。
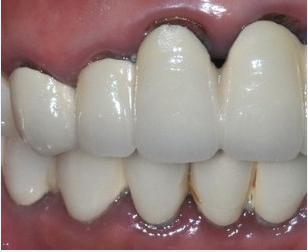
④牙龈发黑也可能跟补牙材料、金属牙套变质有关,金属牙套氧化也会有变化发生的几率。如果有补牙、安装义齿的经历,一定要去医院复查,建议选择材质较好的材料。
如果不知道自己是什么原因引起的牙龈发黑,可以>>>点击在线挂号 我院专业挂号会给您耐心的,详细的解答。如果还是有所担心,不如到医院去做一套牙齿检查,找出病因。圣贝牙科已经在中国的西安,济南,北京,广州,上海,成都拥有了数家连锁机构,在每座城市都享有盛誉,深得消费者的喜爱。
医院拥有CAD、CAM、CT、显微镜、超声骨刀和光动力等一系列的现代牙科设备,全院按照口腔专业分为不同科室或诊室,以牙齿美容、种植牙、牙齿修复、牙齿正畸、牙齿美白、儿童牙科等特色诊疗项目深入人心。为实现不同患者的需求,医院实现全年无休制度与特需医疗服务。>>>点击在线预约
牙龈发黑不能不当一回事,这已经是牙周炎、牙龈炎等一些口腔疾病发出的讯号了,拖得越久多对身体的影响越大。

美牙热线:029-81327105
地址:西安市莲湖区丰登南路2号(丰庆公园西门对面)公园国际一层)
圣贝牙科为圣贝口腔医院重金打造的旗舰医院,是按照三级口腔专科医院和五星级健康会所标准建设……【详细】