地址:【西安市莲湖区丰登南路2号公园国际一楼】
全国免费电话:029-81327105
追求美的人和追求美的高度在不断的增加,都想拥有一口整齐洁白美丽的牙齿,靓丽的好牙不仅能使人展现自信笑容,人与人之间的距离也不断亲近,氟斑牙在接触之间产生了距离,我们就来具体说一说氟斑牙要怎么美白?
氟斑牙美白案例:
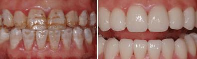
患者:张小姐
年龄:23岁
牙症:中度氟斑牙
检查:从小生活在含氟高的地区,全口牙黄斑,X片显示根尖无异常。
美牙方案:结合肤色、脸型,通过VITA比色仪器以及圣贝牙科 医院引进的全景数码定位系统对牙齿进行检测,选定合适的美牙方案。
美牙技术:圣贝美牙系统
美牙时间:半小时
不同程度的氟斑牙,采取不同的美白方案
❤牙齿美白--轻中度氟斑牙
❤全瓷贴面--氟斑牙伴随着牙冠表面残缺
❤全瓷牙--氟斑牙并伴有严重缺损
圣贝美白--轻中度氟斑牙
西安圣贝连锁医疗机构美白牙齿技术,是当今世界先进的牙齿美白技术之一,与3D数字克隆牙技术(全瓷冠)和全瓷贴面技术并列为牙齿美白的三大核心技术。由于其操作方便时间短、有效微痛、效果持久、副作用小、价格便宜等诸多优点,一经面世即受到世界各界爱美人士的追捧,并已经成为好莱坞等演艺圈明星的美容标配产品。一次性、无刺激、低风险,美白效果可持续3-5年。
全瓷贴面--氟斑牙伴随着牙冠表面残缺
全瓷贴面具有良好的组织相容性,化学性能稳定,色泽可调配与天然牙协调,透明性好、颜色稳定、耐磨性好等优点,是一种非常舒适的牙齿美容方法。能够解决常见的黄斑牙、发黑、轻度牙列不齐等问题, 特别适用于四环素牙和氟斑牙的美容修复
全瓷牙--氟斑牙并伴有严重缺损

全瓷牙是烤瓷牙中的,越来越受到白领,金领一族的青睐,尤其是格外注意形象外观的明星和公众人物,对全瓷更是趋之若骛。CAD/CAM全瓷牙出现,可在短时间内让牙列不齐、四环素牙患者拥有一口真实、洁白、整齐的牙齿。CAD/CAM全瓷牙的每颗牙齿都通过CAD/CAM,无金属异味,其层次、色泽比较接近于真牙。另外,又因为它对光线通透性良好与真牙接近,超出真牙的强度、达到比较佳的美齿效果及与软组织的比较舒适接触。
氟斑牙美白哪里好?
圣贝牙科 连锁品牌
一系列高科技设备,比如圣贝种植系统、圣贝无形正畸系统、圣贝牙美白系统等不胜枚举,真正体现了圣贝牙科“不做惟一,就做”的行业的英雄气质。
西安圣贝温馨指南
挂号电话:029-8132-7105 (全国免费挂号预约电话)
口腔QQ热线:4000299921
医院地址:西安市莲湖区丰登南路2号(丰庆公园西门对面)公园一层

美牙热线:029-81327105
地址:西安市莲湖区丰登南路2号(丰庆公园西门对面)公园国际一层)
圣贝牙科为圣贝口腔医院重金打造的旗舰医院,是按照三级口腔专科医院和五星级健康会所标准建设……【详细】