地址:【西安市莲湖区丰登南路2号公园国际一楼】
全国免费电话:029-81327105
随着生活的日益快节奏化,人们的生活习惯也随着变化,日常生活中熬夜加班更是常事。人们为了保持良好的精神,往往会借助咖啡,久而久之就形成了咖啡牙,严重影响了整体美观。有了咖啡牙的患者多数都会选择去牙科医院美白,那么在西安哪家美白好呢?下面我们一起来看一看。
咖啡牙的危害
						1、影响心理健康:每个人都希望得到别人的赞扬和尊重,我们都喜欢注意别人的外表形象,那么我们也会想到别人会注意自己。如果自己有咖啡牙,就会产生心理负担,总是担心别人注意自己的牙齿。
						    2、影响身体健康:咖啡牙是牙齿上长期以来形成的牙垢,因为没有及时清理,有效下去会造成牙周炎。
						    3、影响外表形象:在与人交往过程中,微笑是比较有效的表达友好的方式,漂亮的牙齿会让你的气质上升许多,但是如果你有咖啡牙,给别人的印象就会下降很多。
咖啡牙有哪些美白方法
						一、轻度咖啡牙:如果咖啡牙不严重时,通常采取的方法是通过洗牙来解决。
						    二、中度咖啡牙:可采用冷光美白技术是不错的选择,它可以去除牙齿表面的色素沉积,及深层所附着的色素, 而且美白效果持久有效,轻松半小时,黄牙、黑牙、四环素氟斑牙一扫而光,具有持久、自然、快速、专业、有效。
						    三、重度咖啡牙:我们推荐采取美牙冠。它可以很好的改善牙齿的颜色、形态,是一种非常受客户欢迎的牙齿美容方法,它适用于严重牙齿变色。
怎样才算一个好的正规牙科医院
						一、看医院的医疗标准是否严格
						    二、看医院的技术是否正规
						    三、选择医院要看价格是否透明
西安圣贝 百年牙科品牌
						一、百年牙科品牌
						自1921年慕尼黑一个小镇对文艺复兴如痴如醉的牙医David Belle(大卫贝尔)创立了圣贝牙科诊所。随后圣贝牙科经历了法兰西萌牙、普鲁士生根、全球化浪潮,已成为世界百强知名牙科医疗连锁品牌。
						    二、优质的服务条件
						知名大师设计、按照五星级标准打造,圣贝向每一位顾客提供现代典雅舒适的环境和全程优质服务,让您体验到人性化牙科连锁服务。
						    三、良好的服务理念
						西安圣贝一切以顾客为中心。并且以尊重、理解、关怀、服务;专业、微痛、便捷、;尊贵、体面、友情、爱心、开心、温馨、疗效确切、服务优良、信誉卓着为服务的目标。
						    四、雄厚的医疗质量保障
						圣贝牙科连锁医疗机构(西安)汇聚了欧美、亚洲等着名的牙科、着名的原四医大军内口腔,以及交大附二院医学院校的。在圣贝,飞行牙医与知名学者,本土与自身团队形成了良好的无缝对接,将口内、口外、修复、正畸、牙美容、牙种植每一个专业都力争做成行业内专精的典范。
						   五、JCI认证
						JCI认证是一个严谨的体系,其理念是比较大限度的实现可达到的标准,以病人为中心,建立相应的政策、制度和流程以鼓励持续不断的质量改进并符合当地的文化。
						    六、认证可信
						圣贝牙科连锁,是卫生厅认证的牙科机构,严格遵守卫生部对于口腔准入制度的所有要求,认真贯彻执行ISO9001:2000质量管理体系的核心框架,符合“五大标准体系”。
西安推荐-------牙齿美白
						一、快速: 在牙齿表面上涂抹无害的美白材料之后,全口牙齿一次照射,大大缩短了美白时间。完成一次全口美白,时间不超过30分钟。
						    二、有效:采用的是低温冷光,不产生热效应,有效避免了操作过程中牙神经的不适感,所以在美白过程中牙齿不会痛。
						    三、持久: 多种光源配合的全方位综合冷光源,可比较大程度催化美白剂渗透并吸收。美白效果可维持2年以上。
						    四、效果显着: 根据临床实验表明,使用光谱牙齿美白技术,其效果可提高8-14个vita色阶,操作过程仅需三十分钟,低风险,美白效果显着。
						    五、美白个性化: 独有的单颗牙齿美白功能,可针对问题牙齿进行单独美白,而不必影响其他牙齿色泽,极大的满足了个性化的需求。
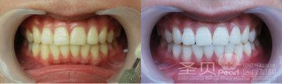
案列再现
小美是一位游戏测试,熬夜加班对于她来说都已经习以为常了。平时加班小美为了保持良好的工作状态,每隔一个小时都会在公司的咖啡机那里接一杯热咖啡喝,久而久之,小美的牙齿不在洁白,开始越来越黄,后来小美尝试过很多生活中的美白小技巧来美白牙齿,可结果都不是很理想,于是小美来到了我院,我院确诊小美为中度咖啡牙并建议小美使用牙齿美白,术后,小美重新拥有了比以前更加洁白靓丽的牙齿。
美白牙齿后的注意事项
						1、牙齿美白后,喜欢吸烟的朋友比较好能够戒烟,这样才能够让牙齿美白的时间更持久些。
						    2、牙齿美白后一定要做好口腔的清洁工作,每天认真刷牙,每次不低于3分钟,比较好能够养成饭后漱口的好习惯。
						    3、牙齿美白一周内不要吃刺激性的食物,比如过酸、过辣、过甜或者过冷过热的食物。
圣贝温馨指南
挂号电话:029-8132-7105 (全国免费挂号预约电话)
口腔QQ热线:4000299921
医院地址:西安市莲湖区丰登南路2号(丰庆公园西门对面)公园一层

美牙热线:029-81327105
                    
                    地址:西安市莲湖区丰登南路2号(丰庆公园西门对面)公园国际一层)
                 
        圣贝牙科为圣贝口腔医院重金打造的旗舰医院,是按照三级口腔专科医院和五星级健康会所标准建设……【详细】