(成功预约后,我们将尽快回访)
地址:【西安市莲湖区丰登南路2号公园国际一楼】
全国免费电话:029-81327105
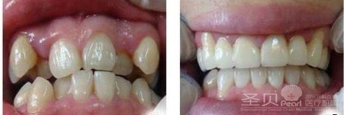
成人快速矫正牙齿
成人矫正方法有哪些


提示,成人牙齿矫正需要注意以下事项
西安圣贝温馨指南
挂号电话:029-8132-7105 (全国免费挂号预约电话)
口腔QQ热线:4000299921
医院地址:西安市莲湖区丰登南路2号(丰庆公园西门对面)公园一层

美牙热线:029-81327105
地址:西安市莲湖区丰登南路2号(丰庆公园西门对面)公园国际一层)
圣贝牙科为圣贝口腔医院重金打造的旗舰医院,是按照三级口腔专科医院和五星级健康会所标准建设……【详细】