地址:【西安市莲湖区丰登南路2号公园国际一楼】

    全国免费电话:029-81327105

12

西安种植牙的价格
时间:2018-05-09 13:46 来源:西安圣贝口腔 点击:
  在西安种植牙的价格是多少?往下看,解决你的疑问。
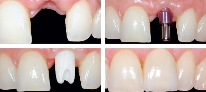
  <种植牙适应症>
>>>如若出现以上情况,立即点击挂号!并可免费拍片,免费检查
  西安圣贝种植牙修复参考: 
         
牙齿情况:因意外导致牙齿脱落
建议:牙槽骨保存完好的情况,建议种植牙修复
推荐:{美籍种植}黄国伦

 

<效果展示>

 
>>>预约黄国伦?点击牙管家挂号
 
 
牙齿情况:牙齿松动引起牙齿的自然脱落
建议:若此时患者牙槽骨仍完好,建议种植牙修复
推荐:{韩籍种植}朴东信 

 

<效果展示>
>>>想挂号朴东信?点击预约
  西安圣贝的优势:
  1、圣贝品牌:圣贝将消毒模式提升至16层,保障了患者在圣贝种牙的安全。且,圣贝是全国联保的牙科医院,并对每一位患者终身维护。
  2、圣贝:圣贝除了有美国籍种植牙博士黄国伦亲诊外,还汇聚了唐继辉和朴东信等名师的强势加盟,组成了专业的团队。>>>我能做种植牙吗?直接点击与种植牙管家对话
  3、术后保障:圣贝牙科已与人寿保险签约,种植体享受五年质保(五年内出现非人为原因损坏以及质量问题均可免费维护和更换),且在收费方面严格执行透明化、公开化收费
  ※圣贝牙管家温馨提示:如今,市场上的种植技术层出不穷,建议:选择做种植牙的时候首先要考虑医院的口碑,技术的好坏而不应该一味的选择便宜的地方。
>>>还有疑问?免费挂号电话:029-8132-7105
关键词: 种植牙价格

美牙热线:029-81327105
地址:西安市莲湖区丰登南路2号(丰庆公园西门对面)公园国际一层)

< >

圣贝牙科为圣贝口腔医院重金打造的旗舰医院,是按照三级口腔专科医院和五星级健康会所标准建设……【详细】

自助挂号    

免专家挂号费,享优先就诊
免费口腔拍片检查

(成功预约后,我们将尽快回访)
特色技术
新闻动态      
6月20日下午,西安市莲湖区政协副主席刘庆明一行到圣贝口腔医院走访...【详细】
3月10日上午,西安圣贝口腔会议室汇聚了一群因种植牙而来的患者朋友...【详细】
3月10日上午,西安圣贝口腔会议室汇聚了一群因种植牙而来的患者朋友...【详细】
爱心义诊进社区 志愿服务暖人心 我院法士特口腔义诊活动圆满结束 3月...【详细】
2022年2月17日上午10点整,随着生日快乐歌的响起,西安圣贝牙科的会员...【详细】

© 2011-2020 西安莲湖圣贝口腔门诊部 版权所有

市医广【2020】第239号

陕ICP备13003650号