圣贝牙科为圣贝口腔医院重金打造的旗舰医院,是按照三级口腔专科医院和五星级健康会所标准建设……【详细】
自助挂号
免专家挂号费,享优先就诊
免费口腔拍片检查
(成功预约后,我们将尽快回访)
特色技术
圣贝炫彩美白 让黄牙洁白靓丽
时间:2013-10-10 16:08 来源:西安圣贝牙科医院 点击:
患者情况
【患者简介】
姓名:蔡小姐
年龄:26岁
职业:业务员
检查分析:成立业医生对蔡小姐口腔的细心检查下发现牙齿表面褐黄,口腔CT显示根尖无异常。
主治医师:成立业
姓名:蔡小姐
年龄:26岁
职业:业务员
检查分析:成立业医生对蔡小姐口腔的细心检查下发现牙齿表面褐黄,口腔CT显示根尖无异常。
主治医师:成立业
治疗方案
治疗方案:推荐使用Prussian炫彩美白系统技术,对牙周进行检查并结合肤色、脸型,设计牙齿美白方案,预期牙色提高5个VITA色阶。
蔡小姐听说牙科医院有针对黄牙的美白技术,特别是西安圣贝牙科医院的Prussian炫彩美白系统技术可以让牙齿恢复自然靓白。蔡小姐上网预约了专家,第二天就直奔圣贝。之前会有些担忧,但是到了圣贝牙科以后,经过成立业医生耐心的诊断和对Prussian炫彩美白系统的介绍,蔡小姐放心多了。

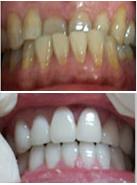
蔡小姐牙齿美白前后对比图
黄牙的问题困扰着很多人,包括年轻靓丽的蔡小姐也被黄牙困扰。每次说话,笑容都不自然,怕露出黄色的牙齿,不自觉的就拿手遮掩。长期以来的黄牙困扰造成了蔡小姐内心的不自信,这对她的工作和生活都造成了极大的影响。蔡小姐听说牙科医院有针对黄牙的美白技术,特别是西安圣贝牙科医院的Prussian炫彩美白系统技术可以让牙齿恢复自然靓白。蔡小姐上网预约了专家,第二天就直奔圣贝。之前会有些担忧,但是到了圣贝牙科以后,经过成立业医生耐心的诊断和对Prussian炫彩美白系统的介绍,蔡小姐放心多了。
术后效果
经过30分钟的治疗,Prussian炫彩美白系统技术解决了蔡小姐一直困扰的黄牙问题,牙齿也提高了5个VITA色阶,牙齿不再是黄黄的不敢见人了,如今整齐靓白,蔡小姐乐得合不拢嘴。
技术介绍——Prussian炫彩美白系统
医院独资引进的Prussian炫彩美白系统技术,适用于一般外因性色素牙(咖啡、茶渍、烟渍沉积)、中轻度四环素牙、氟斑牙、药物性变色牙、遗传性黄牙等。美白效果更明显,一次性30分钟的治疗可以使全口16-20颗牙齿平均提高5-14个VITA色阶,并使治疗后的牙齿具有自然的光泽。安全有效,能有效降低治疗不适感,隔除一切有害的紫外线与红外线,对周围组织无副作用。
技术介绍——Prussian炫彩美白系统
医院独资引进的Prussian炫彩美白系统技术,适用于一般外因性色素牙(咖啡、茶渍、烟渍沉积)、中轻度四环素牙、氟斑牙、药物性变色牙、遗传性黄牙等。美白效果更明显,一次性30分钟的治疗可以使全口16-20颗牙齿平均提高5-14个VITA色阶,并使治疗后的牙齿具有自然的光泽。安全有效,能有效降低治疗不适感,隔除一切有害的紫外线与红外线,对周围组织无副作用。
上一篇:没有了
下一篇:圣贝炫彩美白 治疗黄牙案例
下一篇:圣贝炫彩美白 治疗黄牙案例
诊疗时间:8:30-20:00 咨询时间:8:00-23:00

您目前所在的位置:













西安店 
