圣贝牙科为圣贝口腔医院重金打造的旗舰医院,是按照三级口腔专科医院和五星级健康会所标准建设……【详细】
自助挂号
免专家挂号费,享优先就诊
免费口腔拍片检查
(成功预约后,我们将尽快回访)
特色技术
圣贝炫彩美白 治疗黄牙案例
时间:2014-01-17 10:44 来源:西安圣贝牙科医院 点击:
患者情况
【患者简介】
姓名:王先生
年龄:28岁
职业:财务管理
牙症:中度四环素牙
检查:刘正裕医生对王先生口腔的细心检查下发现王先生的牙齿大面积呈黄色,部分牙齿呈褐色,牙面无光泽,笑容暗淡,难以启齿,经断为中度四环素牙。
主治医师:刘正裕
姓名:王先生
年龄:28岁
职业:财务管理
牙症:中度四环素牙
检查:刘正裕医生对王先生口腔的细心检查下发现王先生的牙齿大面积呈黄色,部分牙齿呈褐色,牙面无光泽,笑容暗淡,难以启齿,经断为中度四环素牙。
主治医师:刘正裕
治疗方案
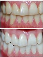
治疗方案:刘正裕医生根据王先生的牙齿情况,推荐使用Prussian炫彩美白技术,结合皮肤、脸型,设计牙齿美白方案,预计牙齿提高5个VITA色阶。

黄牙美白前后对比图
【案例回顾】
28岁的王先生是一家财务公司的职员,由于工作上需要和客户打交道还得保持足够的亲切度。但是,患有中度四环素牙的王先生给人的感觉就是一口黄牙,在许多重要场合,王先生都不敢直视对方更不敢露齿而笑,客户都觉得王先生有点傲气。
因为四环素牙的困扰,王先生费劲了脑筋,后来在朋友的介绍下得知了西安圣贝牙科医院的Prussian炫彩美白技术不错,于是在网上挂了个预约号,前来就诊。

黄牙美白前后对比图
28岁的王先生是一家财务公司的职员,由于工作上需要和客户打交道还得保持足够的亲切度。但是,患有中度四环素牙的王先生给人的感觉就是一口黄牙,在许多重要场合,王先生都不敢直视对方更不敢露齿而笑,客户都觉得王先生有点傲气。
因为四环素牙的困扰,王先生费劲了脑筋,后来在朋友的介绍下得知了西安圣贝牙科医院的Prussian炫彩美白技术不错,于是在网上挂了个预约号,前来就诊。
术后效果
经过30分钟的治疗,Prussian炫彩美白技术解决了王先生四环素牙的问题,王先生称现在走哪都微笑,大家也不觉得他傲气了。
技术推荐——Prussian炫彩美白系统
医院独资引进的Prussian炫彩美白系统技术,适用于一般外因性色素牙(咖啡、茶渍、烟渍沉积)、中轻度四环素牙、氟斑牙、药物性变色牙、遗传性黄牙等。美白效果更明显,一次性30分钟的治疗可以使全口16-20颗牙齿平均提高5-14个VITA色阶,并使治疗后的牙齿具有自然的光泽。安全有效,能有效降低治疗不适感,隔除一切有害的紫外线与红外线,对周围组织无副作用。
技术推荐——Prussian炫彩美白系统
医院独资引进的Prussian炫彩美白系统技术,适用于一般外因性色素牙(咖啡、茶渍、烟渍沉积)、中轻度四环素牙、氟斑牙、药物性变色牙、遗传性黄牙等。美白效果更明显,一次性30分钟的治疗可以使全口16-20颗牙齿平均提高5-14个VITA色阶,并使治疗后的牙齿具有自然的光泽。安全有效,能有效降低治疗不适感,隔除一切有害的紫外线与红外线,对周围组织无副作用。
诊疗时间:8:30-20:00 咨询时间:8:00-23:00

您目前所在的位置:













西安店 
