圣贝牙科为圣贝口腔医院重金打造的旗舰医院,是按照三级口腔专科医院和五星级健康会所标准建设……【详细】
自助挂号
免专家挂号费,享优先就诊
免费口腔拍片检查
(成功预约后,我们将尽快回访)
特色技术
圣贝炫彩美白 重建微笑与自信
时间:2013-10-10 16:03 来源:西安圣贝牙科医院 点击:
患者情况
【患者简介】
姓名:赵女士
年龄:32岁
职业:白领
牙症:遗传性色素牙,牙齿发黄严重
主治医师:刘正裕
姓名:赵女士
年龄:32岁
职业:白领
牙症:遗传性色素牙,牙齿发黄严重
主治医师:刘正裕
治疗方案
治疗方案:刘正裕医生检查牙齿后,城一般的牙齿护理和洗牙是不能改变遗传性色素牙的,推荐Prussian炫彩美白系统技术,并结合肤色、脸型,通过VITA比色仪器以及数码定位系统对牙齿进行检测,设计牙齿美白方案,预计牙色提高了10个VITA色阶。

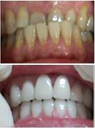
美牙前后对比图
【案例分析】
32岁的赵女士是典型的遗传色素牙,牙齿发黄严重,在许多牙科医院进行了牙齿治疗都没有改变她的牙齿状况。几乎已经灰心的赵女士带着最后的希望来到西安圣贝牙科医院,是朋友介绍的,朋友说圣贝牙科有Prussian炫彩美白系统技术,可以针对遗传性色素牙,使牙齿恢复正常的色阶。
为赵女士做牙齿治疗的是圣贝的美学修复专家刘正裕,刘正裕医生告知赵女士她之前进行的一般的牙齿护理和洗牙是不能改变遗传性色素牙的。吴医生给她推荐Prussian炫彩美白系统技术,并结合赵女士的肤色、脸型,通过VITA比色仪器以及数码定位系统对牙齿进行检测,设计牙齿美白方案,经过分析觉定使用Prussian炫彩美白系统牙齿,预计牙色提高了10个VITA色阶。于是,赵女士决定通过Prussian炫彩美白系统技术来美白这难看的遗传性色素牙。

美牙前后对比图
32岁的赵女士是典型的遗传色素牙,牙齿发黄严重,在许多牙科医院进行了牙齿治疗都没有改变她的牙齿状况。几乎已经灰心的赵女士带着最后的希望来到西安圣贝牙科医院,是朋友介绍的,朋友说圣贝牙科有Prussian炫彩美白系统技术,可以针对遗传性色素牙,使牙齿恢复正常的色阶。
为赵女士做牙齿治疗的是圣贝的美学修复专家刘正裕,刘正裕医生告知赵女士她之前进行的一般的牙齿护理和洗牙是不能改变遗传性色素牙的。吴医生给她推荐Prussian炫彩美白系统技术,并结合赵女士的肤色、脸型,通过VITA比色仪器以及数码定位系统对牙齿进行检测,设计牙齿美白方案,经过分析觉定使用Prussian炫彩美白系统牙齿,预计牙色提高了10个VITA色阶。于是,赵女士决定通过Prussian炫彩美白系统技术来美白这难看的遗传性色素牙。
术后效果
通过Prussian炫彩美白系统的治疗后,赵女士的牙齿非常美观,达到了非常理想的色阶。据赵女士介绍,她目前正是事业高峰期,由于这口遗传性色素牙让她在工作交谈应酬上都很不自信,笑容也很尴尬。而如今,进行了Prussian炫彩美白系统后,赵女士可以从容自信的应对各种问题了。
技术推荐:Prussian炫彩美白系统
目前国际上比较先进的牙美白技术之一,适用于一般外因性色素牙(咖啡、茶渍、烟渍沉积)、中轻度四环素牙、氟斑牙、药物性变色牙、遗传性黄牙等。美白效果更明显,一次性30分钟的治疗可以使全口16-20颗牙齿平均提高5-14个VITA色阶,并使治疗后的牙齿具有自然的光泽。安全有效,能有效降低治疗不适感,隔除一切有害的紫外线与红外线,对周围组织无副作用。
技术推荐:Prussian炫彩美白系统
目前国际上比较先进的牙美白技术之一,适用于一般外因性色素牙(咖啡、茶渍、烟渍沉积)、中轻度四环素牙、氟斑牙、药物性变色牙、遗传性黄牙等。美白效果更明显,一次性30分钟的治疗可以使全口16-20颗牙齿平均提高5-14个VITA色阶,并使治疗后的牙齿具有自然的光泽。安全有效,能有效降低治疗不适感,隔除一切有害的紫外线与红外线,对周围组织无副作用。
诊疗时间:8:30-20:00 咨询时间:8:00-23:00

您目前所在的位置:













西安店 
