地址:【西安市莲湖区丰登南路2号公园国际一楼】
全国免费电话:029-81327105
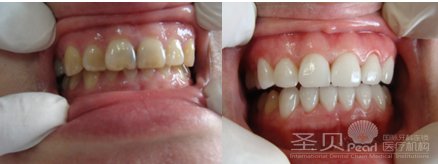
洁牙美牙
每个人都想拥有一口美丽光洁的牙齿,然而事实总是与此梦想背道而驰。我们坚持每天刷牙,却总是发现依然是一口黄牙,看着别人的满口皓齿,我们不禁会问:怎么做到的? 没关系,到圣贝来,让你拥有一口皓齿,笑口常开。
很多人可能会迷惑,我每天早晚刷牙,怎么牙齿还是黄的?其实往往由于个人刷牙不够全面,未能全面清洁牙齿,长此以往故而造成了你的满口黄牙。这个时候,你需要的是到专业牙科医院选择洗牙。
洗牙是一种很不错的牙齿护理方式,它也是牙周病的基础治疗手段,定期去医院洗牙不仅能够清除口腔污垢,保护口内健康,还能够预防牙周疾病,发现一些细小的还没有任何征兆的牙病,所以说,洗牙很好而且很有必要。
很多朋友洗牙后都觉得牙齿敏感好像变的松动了,其实造成这样的罪魁祸首不是洗牙,而是我们自己,因为我们长期不去洗牙,所以牙结石就有很多,它们附在牙齿上面,并且相当坚硬,洗牙将结石去掉之后,牙齿从新暴露出,自然就会感觉比较敏感了。
同上,也是因为之前牙缝之中存在在牙石,牙石把牙缝给堵起来了,当我们洗牙之后,牙缝里面的牙石都被清理掉了,我们就会感觉牙缝突然变宽了,这样的牙间隙需等一段时间会慢慢恢复的。
自然就会感觉比较敏感了。


洁牙后,重新开始新的自信旅程
西安圣贝医院导航
如有其它疑问,百度十下不如挂号一下,欢迎在线挂号或者拨打挂号热线029-81327105,圣贝们将竭诚为您解答,直到您满意为止。
口腔QQ热线:4000299921
医院地址:西安市莲湖区丰登南路2号(丰庆公园西门对面)公园一层

美牙热线:029-81327105
地址:西安市莲湖区丰登南路2号(丰庆公园西门对面)公园国际一层)
圣贝牙科为圣贝口腔医院重金打造的旗舰医院,是按照三级口腔专科医院和五星级健康会所标准建设……【详细】