地址:【西安市莲湖区丰登南路2号公园国际一楼】
全国免费电话:029-81327105
喷砂洁牙的疗效
相信大多数人是没有洁牙的习惯的,觉得洁牙这东西可有可无,然而并不是这样的。牙垢的累积形成牙结石,今儿可能导致牙龈肿痛,以及各种牙科疾病。所以定期洁牙保护你的呀吹。圣贝,专业的牙科医院,值得你的选择。
由于我们平时的吃的水果蔬菜,每次进食后,虽然都会使用牙刷梳洗,然而并不是每次梳洗都能有效清除残余的渣滓,然而日积月累,浙西残余物比较终会形成牙结石,今儿引发多种牙科寄病。比如牙龈受到挤压,造成的牙龈肿痛;以及残余物引发的真菌群影响牙齿美观;以及后来的牙齿提前脱落......这些都是没有及时洁牙引起的一些后果。所以定期去医院洁牙很有必要。

一:回归牙齿本色 美白牙齿
喷砂洁牙通过高压将生物海盐反复击打牙齿各个角落,将牙齿缝隙、牙齿内壁,牙刷难以刷到的部位全部清除干净,暗黄色素、茶渍、烟渍、咖啡渍、牙菌斑、牙结石等清除,牙齿变白了,牙齿回归到牙齿原本的颜色,喷砂洁牙具有美白牙齿的效果一直被爱美的人士津津乐道。
二:去除细菌 治疗牙周炎症
喷砂洁牙是预防龋齿和治疗牙周病和牙龈炎的有效方法。口腔形成的牙结石粘附在牙齿颈部或牙龈下根部,坚硬难以刷掉,还刺激牙龈,引起牙龈发炎、出血。喷砂洁牙去除牙结石之后,牙周组织健康了,不再遭受牙结石的刺激。
三:抛光牙面 不易沉积细菌
不同于其他的洁牙方式,洁牙之后如果再次引用可乐、咖啡等深色饮料很容易再次着色。喷砂洁牙的好处就在于洁牙之后抛光牙面,牙齿表面光滑,预防牙菌斑、牙结石再生。
(1)西安圣贝牙科基础洁牙套餐:128元;圣贝首创的洁牙科技,纳米盐喷砂超声波360度全面清洁,只需128元尽享原价591元全面洁牙套餐。此套餐包括:纳米盐喷砂超声波360度全口洁牙、进口矽离子全齿抛光、口腔粘膜消毒剂套餐、一次性口腔用品。
(2)VIP洁牙套餐:368元;VIP套餐原价680,可享公益价398元。其套餐包括:纳米盐喷砂超声波360度全面清洁、进口纳米盐全口喷砂、进口矽离子全齿抛光、口腔粘膜消毒剂套餐、进口表麻膏微痛护理、一次性口腔用品、全齿氟保护护理、口腔内窥镜检查、全程咬肌护理。

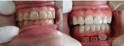
洁牙前后的对比。
西安圣贝医院导航
如有其它疑问,百度十下不如挂号一下,欢迎在线挂号或者拨打挂号热线029-81327105,圣贝们将竭诚为您解答,直到您满意为止。
口腔QQ热线:4000299921
医院地址:西安市莲湖区丰登南路2号(丰庆公园西门对面)公园一层

美牙热线:029-81327105
地址:西安市莲湖区丰登南路2号(丰庆公园西门对面)公园国际一层)
圣贝牙科为圣贝口腔医院重金打造的旗舰医院,是按照三级口腔专科医院和五星级健康会所标准建设……【详细】