地址:【西安市莲湖区丰登南路2号公园国际一楼】

    电话:17789120776

12

牙齿磨损了怎么办
时间:2014-10-14 16:36 来源:未知 点击:
  口腔是在不断运动中,牙齿不停的咬合,就会有牙齿磨损。随着我们年龄的增长,牙齿磨损的程度会越来越严重,那牙齿磨损了怎么办呢?<<<点击此处,让根据你的个人情况来量身定做治疗方案>>>>
牙齿磨损了怎么办
    【普通牙齿磨损的治疗】
    1. 牙齿不均匀磨损,非功能尖高而陡。为预防咬合创伤和牙折,调改咬合关系,需要分次磨改非功能牙间,降低其高度,以免造成牙本质过敏症。
    2. 牙齿不均匀磨损,合面呈颊舌侧和中央较高的三高两低形态,其邻面磨损时,合面无法制成字型,以加强固位,充填采用常规方法,效果良好。
    3. 牙齿均匀重度磨损,如果是生理性磨损,无症状者无需处理。出现牙本质过敏者,进行脱敏治疗。有牙髓病和根尖周病时,进行牙髓治疗。  
      老人牙齿磨损怎么办?由于老年人的牙体长期磨损,形态各异,常规方法无法修复时,在西安圣贝连锁机构临床会根据具体情况,将牙体形态和缺损情况综合考虑,采用非标准形态进行修复,以满足修复的效果。
      牙齿磨损严重怎么治疗?针对牙齿磨损的问题,我们推荐患者采用西安圣贝引进的圣贝定制牙美容系统,采用极束星断层牙CT、圣贝美牙系统等先进设备运用,快速修复牙齿缺损等症状,45分钟,无需复诊即可实现拥有整齐洁白靓牙的梦想。仿生功能,与原生牙高度融合,舒适自然,咀嚼功能如同真牙。无黑线,无红肿,低风险,合理护养,美观耐用。口腔、技术及设备支持,ISO质量体系标准认证。 
    【西安圣贝领先技术设备 尊贵从“齿”开始】
    牙齿出了问题,是选择就地解决,还是忍着不适,打飞的到外国看?国外有世界比较的医疗设备和特别先进的牙科以及优质的医疗服务。在圣贝,看牙不必东奔西跑,圣贝牙医为爱飞行。飞行牙医与知名学者,本土与自身团队形成了良好的无缝对接,力争将口内、口外、修复、正畸、牙美容、牙种植每一个专业都做成中国牙科行业内专精的典范。圣贝牙科连锁引进全球领先的技术,如圣贝即刻种植系统、正畸系统、三维精密全瓷牙美容修复系统、韩国极束星全口牙CT等。三维立体成像,360°显示牙齿状况。圣贝,五星级齿科诊疗机构,舒适明亮的就医环境,整齐宽敞的就诊空间,专注服务于中人群和社会精英。配合自控欣赏多媒体数字牙椅,让看牙从此成为享受,达到看牙的比较高境界。。 <<<点击这里挂号预约口腔,免挂号费,享受更多公益,省时省心省钱>>>
 牙齿磨损了怎么办
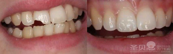
     【圣贝牙美容令曾先生事业蒸蒸日上】
    曾先生是西安某企业的业务经理,出色的业务表现让他的事业蒸蒸日上,然而两年前的他却是一个业务平平的普通业务员,而且还因为牙齿磨损,很多客户,在听他开口介绍公司产品的时候,对他没有太好的印象。磨损的牙齿,让曾先生的事业黯淡,为此他大为苦恼。一次偶然的机会,他在上网查找牙齿磨损的治疗方法时候,无意中点进西安圣贝的官网,看到西安圣贝采用的圣贝定制牙美容对磨损较厉害的牙齿有良好的治疗效果,于是来到医院进行详细了解,经过医院现场的观摩,以及细致的解答,曾先生当即就决定采用圣贝牙美容来解决牙齿严重磨损的现象。
  圣贝牙科表示,牙齿磨损会导致牙本质外露,可造成牙齿对冷、热、酸、甜等刺激敏感或疼痛。过度磨损导致牙齿牙髓外露,可造成牙髓炎,如得不到及时治疗甚至可以导致根尖周炎。因此,牙齿磨损后要及时的治疗。
  不仅仅是曾先生,其他有牙齿磨损问题的人同样也要注意,在日常生活中,要预防牙齿磨损,如果是因为牙齿不齐造成的牙齿磨损,一定要尽早的进行牙齿矫正;避免长时期固定用某些牙齿进行啃咬;有夜磨牙习惯的人一定要找出病因,纠正夜磨牙习惯;牙齿重度发育不全者要尽早做牙冠保护原牙。
  
  温馨提示:西安圣贝医院特别开设免费在线挂号服务,由圣贝牙科医院在线为您解答相关牙齿问题,同时也可通过网络预约免挂号费、检查费,免排队,优先会诊,为您节省宝贵时间,祝您早日康复!在此感谢朋友们对本院的信任,相信有您的支持,我们会做的更好!
  +++++++++西安圣贝美丽指南+++++++++
    挂号电话:029-81327105   029-81327105(全国免费挂号预约电话)
    口腔QQ热线:4000299921
    医院地址:西安市莲湖区丰登南路2号(丰庆公园西门对面)公园一层
    乘车线路:可乘坐2; 4; 201; 207; 216; 217; 环1; 环2,至西桃园站下车即可。
关键词: 牙齿磨损

美牙热线:029-81327105
地址:西安市莲湖区丰登南路2号(丰庆公园西门对面)公园国际一层)

< >

圣贝牙科为圣贝口腔医院重金打造的旗舰医院,是按照三级口腔专科医院和五星级健康会所标准建设……【详细】

自助挂号    

免专家挂号费,享优先就诊
免费口腔拍片检查

(成功预约后,我们将尽快回访)
特色技术
新闻动态      
6月20日下午,西安市莲湖区政协副主席刘庆明一行到圣贝口腔医院走访...【详细】
3月10日上午,西安圣贝口腔会议室汇聚了一群因种植牙而来的患者朋友...【详细】
3月10日上午,西安圣贝口腔会议室汇聚了一群因种植牙而来的患者朋友...【详细】
爱心义诊进社区 志愿服务暖人心 我院法士特口腔义诊活动圆满结束 3月...【详细】
2022年2月17日上午10点整,随着生日快乐歌的响起,西安圣贝牙科的会员...【详细】

© 2011-2020 西安莲湖圣贝口腔门诊部 版权所有

市医广【2020】第239号

陕ICP备13003650号