(成功预约后,我们将尽快回访)
地址:【西安市莲湖区丰登南路2号公园国际一楼】
电话:17789120776
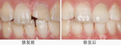
牙齿断裂的症状一般可分为3种:

根据牙齿断裂程度的不同,制定牙齿修复方式:



推荐牙齿断裂修复技术


先进的是您修复成功的重要保障

西安圣贝温馨指南
挂号电话:029-8132-7105 (全国免费挂号预约电话)
口腔QQ热线:4000299921
医院地址:西安市莲湖区丰登南路2号(丰庆公园西门对面)公园一层

美牙热线:029-81327105
地址:西安市莲湖区丰登南路2号(丰庆公园西门对面)公园国际一层)
圣贝牙科为圣贝口腔医院重金打造的旗舰医院,是按照三级口腔专科医院和五星级健康会所标准建设……【详细】