地址:【西安市莲湖区丰登南路2号公园国际一楼】

    电话:17789120776

12

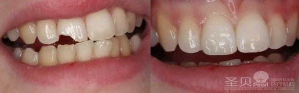
牙齿缺损怎么治
时间:2016-11-15 15:10 来源:未知 点击:
  牙齿缺损常见的原因是,其次为外伤、磨损、楔状缺损、酸蚀发育畸形牙齿缺损会影响面形,牙齿全部缺失后,整个人看起来会比同龄人苍老许多。那么,比较急切的想知道牙齿缺损的朋友>>>点击这里,快速了解,治疗牙齿缺损
 
         圣贝牙科介绍:目前牙齿缺损的治疗方法有很多,比如牙冠、贴面、嵌体等。
        (1)牙冠
门牙磨损怎么治
       牙冠也叫牙套,是用于修复牙齿的一种方法,当牙齿损坏后且难于通过补牙的方式修复时,可用不同的材料制成人造牙冠,套在改小了的天然牙冠上。
        (2)贴面
 
        贴面又称牙贴面,是采用粘结技术,对牙齿表面缺损、着色牙、变色牙和畸形牙等,在保存活髓、少磨牙或不磨牙的情况下,用修复材料直接或间接粘结覆盖,以恢复牙体正常形态和改善其色泽的一种修复方法。
  (3)嵌体
        嵌体是一种嵌入牙体内部,用以恢复牙体缺损的形态和功能的修复体。
  【西安圣贝领先技术设备 更重】

圣贝牙齿修复推荐---李启华院长
【预约】
        李启华毕业于第四军医大学口腔医学系,陕西省口腔医学会理事,西安市医学会口腔会会员,西安市医学会口腔专业医疗事故鉴定委员会成员,多次参加国内口腔专业会议,发表论文十余篇,曾获军区科技进步三等奖。
        擅长:全瓷牙修复、前牙美容修复、固定及活动义齿修复、种植牙手术。
     【圣贝微痛补牙技术】
        让您在轻松微痛的状态下完成治疗
        微痛补牙通过精细器械,通过计算机控制微痛麻醉注射仪,根据患者自觉疼痛程度调节镇痛效果,在患者基本没有痛感的状态下去除组织、分割牙齿,拔出患牙,几乎没有疼痛。采取高性能的树脂材料,依靠化学粘结作用与牙体组织结合,不必制备特殊的固位洞型,颜色与牙体一致,可以不露痕迹达到美观效果。微痛补牙手术损伤小,既有利于补牙创口的愈合,保持牙槽骨完整性又减轻了患者的疼痛感和畏惧感。
        【西安美牙圣地——西安圣贝医院】
  西安圣贝连锁医疗机构强势整合牙科资源,拥有“五大核心技术”,在行业内率先将灭菌消毒提升至16层,成为牙科医疗标准在中国的首航者。如有其它疑问,百度十下不如挂号一下,欢迎点击在线挂号或者拨打挂号热线029-81327105圣贝们将竭诚为您解答,直到您满意为止。

美牙热线:029-81327105
地址:西安市莲湖区丰登南路2号(丰庆公园西门对面)公园国际一层)

< >

圣贝牙科为圣贝口腔医院重金打造的旗舰医院,是按照三级口腔专科医院和五星级健康会所标准建设……【详细】

自助挂号    

免专家挂号费,享优先就诊
免费口腔拍片检查

(成功预约后,我们将尽快回访)
特色技术
新闻动态      
6月20日下午,西安市莲湖区政协副主席刘庆明一行到圣贝口腔医院走访...【详细】
3月10日上午,西安圣贝口腔会议室汇聚了一群因种植牙而来的患者朋友...【详细】
3月10日上午,西安圣贝口腔会议室汇聚了一群因种植牙而来的患者朋友...【详细】
爱心义诊进社区 志愿服务暖人心 我院法士特口腔义诊活动圆满结束 3月...【详细】
2022年2月17日上午10点整,随着生日快乐歌的响起,西安圣贝牙科的会员...【详细】

© 2011-2020 西安莲湖圣贝口腔门诊部 版权所有

市医广【2020】第239号

陕ICP备13003650号