地址:【西安市莲湖区丰登南路2号公园国际一楼】

    电话:17789120776

12

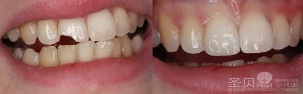
门牙掉了一小块怎么办?
时间:2016-05-14 09:33 来源:未知 点击:
  网友挂号:前几天骑车撞到地上了,门牙掉了一小块,当时没怎么在意。后来发现有一颗门牙变黑了,并且遇到风和喝冷水时感到酸痛感。挂号一下,门牙掉了一小块怎么办?还能修复啊?
  西安圣贝回复:牙齿是很容易受到外力的伤害,当发现牙齿缺损的时候,不仅会影响说话的发音还会给形象带来很大的影响。如果牙齿缺损没有及时的治疗时间久了还会导致邻牙松动。圣贝推荐袁小姐用美容冠技术修复,不用拔牙可以在原牙的基础上做上牙冠,再根据袁小姐的牙齿颜色做个性化的调整,让修复的牙冠和真牙一样,有效看不出真假。
  【缺牙用美容冠修复 不仅能牙齿完整还能起到美容作用】
  如果牙齿缺损者的牙齿原本就有些畸形,虽然牙齿损坏但是可以借此机会做个美容。西安圣贝的美容冠技术在牙齿修复的基础上更强调了牙齿美容效果,可以在短时间内做到美齿,并且修复后的牙齿坚固,患者也不会感到不适,如果保养的好牙齿还可以有效使用,甚至可以达到终身的美容效果。
  牙齿缺了一块其实并不可怕,只要去正规的牙科医院做修复,在专业的建议下做治疗,相信会获得让您满意的效果。
5D美容冠矫正有危害吗
5D
  【美容冠的适应症】
  1、 牙齿变色:如前牙氟斑牙、变色牙,四环素染色牙,釉质发育不全等。
  2、 龋洞或牙体缺损较大:充填后易裂开,脱落变色或不美观者。尤对于前牙龋坏或易裂开的后牙。
  3、 前牙错位,扭转者或畸形。
  4、 单个或多个牙齿缺失:周边牙齿健康者可用金属烤瓷桥修复。
  5、 种植牙:上部结构的修复。
  6、 对美观,舒适,耐用要求较高的镶牙的人。
  【为什么那么多人独爱美容冠】
  “美容冠”牙齿美容技术是流行于欧美、日韩的一种新兴牙齿美容技术,在传统烤瓷牙的基础上强调牙齿的美容效果,对错位牙、畸形牙的临床冠部分施以专业手段,比较后用美容冠加以修复。具有美牙不拔牙,微痛苦,时间短,牙齿坚固,多年后牙龈不会出现黑线等优点,从而达到的美牙效果。该技术已落户西安圣贝医院。
  那么圣贝的美容冠是怎么样的呢?
  西安圣贝医院作为西南地区5D美容冠,此技术打破了过去拔牙、磨牙、取模、刻腊、烧瓷等传统程序,运用计算机辅助设计和制作,一次性完成备牙、光学取模、设计、研磨、试戴、安装等全部程序,整个过程仅需45分钟,让你的牙齿“华丽蜕变”。
  【圣贝的美容冠,五年质保、品质】在圣贝做美容冠享受5年质保,正常使用过程中出现崩瓷、桥体断裂、脱落,免费重做,并终身提供服务。
  如果您还有更多疑问需要挂号请点击>>>在线挂号向西安圣贝了解,这里会为您提供的技术设备,让您放心就诊。
关键词:

美牙热线:029-81327105
地址:西安市莲湖区丰登南路2号(丰庆公园西门对面)公园国际一层)

< >

圣贝牙科为圣贝口腔医院重金打造的旗舰医院,是按照三级口腔专科医院和五星级健康会所标准建设……【详细】

自助挂号    

免专家挂号费,享优先就诊
免费口腔拍片检查

(成功预约后,我们将尽快回访)
特色技术
新闻动态      
6月20日下午,西安市莲湖区政协副主席刘庆明一行到圣贝口腔医院走访...【详细】
3月10日上午,西安圣贝口腔会议室汇聚了一群因种植牙而来的患者朋友...【详细】
3月10日上午,西安圣贝口腔会议室汇聚了一群因种植牙而来的患者朋友...【详细】
爱心义诊进社区 志愿服务暖人心 我院法士特口腔义诊活动圆满结束 3月...【详细】
2022年2月17日上午10点整,随着生日快乐歌的响起,西安圣贝牙科的会员...【详细】

© 2011-2020 西安莲湖圣贝口腔门诊部 版权所有

市医广【2020】第239号

陕ICP备13003650号