地址:【西安市莲湖区丰登南路2号公园国际一楼】

    电话:17789120776

12

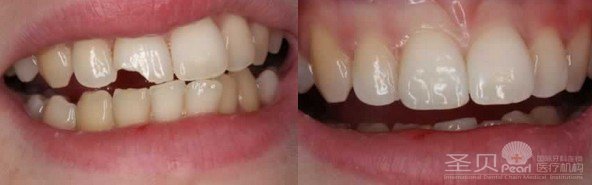
牙齿缺了怎么办?
时间:2015-01-05 11:25 来源:未知 点击:
  牙齿缺了怎么办?很多朋友都有出现牙齿或多或少的缺损现象,很多人觉得不在乎,而有的人却意识到了牙齿缺损的重要性,想尽办法的想修复牙齿,但是对于人们来说,牙齿缺了怎么办呢?要不要修复呢?下面听听的建议。
牙齿缺了怎么办
  圣贝牙科称,牙体缺损作为常见的畸形牙,主要是由于牙体组织质地、外形出现不同程度的损坏或异常情形,临床导致这种现象出现的原因很多,一般分以下几种:
  1、牙周病。患牙周病后,牙周组织逐渐破坏、龈沟加深、形成牙周袋、牙槽骨吸收、牙齿松动、脱落或被拔除。
  2、外伤。前牙或后牙均可因受伤而折断或脱落。外伤严重者还可以伴有颌骨、牙槽骨、软组织的缺损。
  3、颌骨的骨髓炎、肿瘤。颌骨的骨髓炎、肿瘤等也是造成牙列缺损的原因。会导致不均匀磨耗、进而产生牙折、有时无法治疗而拔除。
  4、龋病。患龋病时,牙体的破坏由浅变深,若不及时治疗,则牙齿硬组织不断破坏,以至发生牙髓炎、根尖周炎,造成牙冠缺损,成为残冠或残根。>>>牙齿缺损有哪些危害呢?点击在线挂号了解<<<
  牙齿缺损了怎么办?--及时到医院就诊是关键;
  而在牙齿缺损的治疗方法上,或许只有美容冠更十全十美了。
  美容冠是目前修复效果比较好的方法,能避免传统烤瓷牙出现崩瓷、牙龈变黑、使用久了失色等现象。而且,圣贝牙科引进的Cerec5D美容冠是目前在日韩、欧美非常流行的技术,打破了过去拔牙、磨牙、取模、刻腊、烧瓷等传统程序,运用计算机辅助设计和制作,一次性完成备牙、光学取模、设计、研磨、试戴、安装等全部程序,相对于传统美容冠需7天修复的时间,Cerec5D美容冠仅需45分钟,真正实现“立等可戴”的神话。【值得一读:牙齿缺损修复要多少钱】
  温馨提示:牙齿缺损了要赶紧治疗,避免造成更大的健康隐患。以上就是关于“牙齿缺了怎么办”的相关介绍,如果你还有疑问,请点击>>>在线挂号尽进行了解。

美牙热线:029-81327105
地址:西安市莲湖区丰登南路2号(丰庆公园西门对面)公园国际一层)

< >

圣贝牙科为圣贝口腔医院重金打造的旗舰医院,是按照三级口腔专科医院和五星级健康会所标准建设……【详细】

自助挂号    

免专家挂号费,享优先就诊
免费口腔拍片检查

(成功预约后,我们将尽快回访)
特色技术
新闻动态      
6月20日下午,西安市莲湖区政协副主席刘庆明一行到圣贝口腔医院走访...【详细】
3月10日上午,西安圣贝口腔会议室汇聚了一群因种植牙而来的患者朋友...【详细】
3月10日上午,西安圣贝口腔会议室汇聚了一群因种植牙而来的患者朋友...【详细】
爱心义诊进社区 志愿服务暖人心 我院法士特口腔义诊活动圆满结束 3月...【详细】
2022年2月17日上午10点整,随着生日快乐歌的响起,西安圣贝牙科的会员...【详细】

© 2011-2020 西安莲湖圣贝口腔门诊部 版权所有

市医广【2020】第239号

陕ICP备13003650号