地址:【西安市莲湖区丰登南路2号公园国际一楼】

    电话:17789120776

12

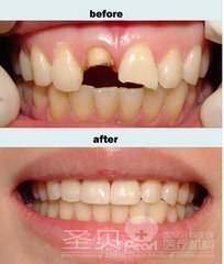
门牙撞掉了能怎么办
时间:2015-05-27 13:48 来源:未知 点击:
        人们口腔内的牙齿要属门牙比较为显眼了,因此,门牙也是比较容易受到损伤的牙齿,一个不小心或者小意外可能就会使我们撞掉门牙,到时候不仅有损形象,日常生活吃东西会很不方便,那么,门牙撞掉了能怎么办?

 
  【门牙稀疏或者掉了会有哪些危害?】
  1、口腔正常功能受到影响:降低咀嚼功能;影响发音功能,有些发音也会受到一定的影响;甚至下颌后缩能影响正常呼吸,吞咽异常也会受到严重下颌前突可影响。
  2、影响容貌美观:严重门牙稀疏或者门牙缺失者会引起面部不协调,以致影响面容一定的美观。使选择职业:社会交际等受到影响丧失自信。或许有一些儿童思想负担沉重、有自卑感。可见,错胎畸形对儿童青少年的心理健康也有不利影响。挂号在线更快捷!
  3、对口腔健康有害:稀疏或者缺失的的牙齿常常咬合不正常,容易引异常,使面部肌肉容易疲劳,还可引起颞下颌关节疾病,使张闭口时关节发出弹响声,时间久了还会引起疼痛等症状。
  4、影响全身健康:门牙稀疏使咀嚼功能降低。食物咀嚼不充分。会增加胃肠的负担,时间长了会引起消化不良或胃肠疾病,影响营养的吸收。有损身体健康。
  西安圣贝口腔医院为您介绍四维圣贝美牙技术的优势:
  1、采用进口陶瓷材料制作,导热性为黄金的1/17,确实保护牙髓牙龈,质量为黄金的1/4,佩戴舒适。
  2、专有金属基底冠,有效避免金属过敏、牙龈黑线等,对牙齿健康无毒副作用。
  3、与真牙一样逼真,其层次、色泽有效接近于真牙,对光线的反射如天然牙一样自然、柔和。
  4、具备真牙的功能,抗压强度远高于传统烤瓷牙,不必担心瓷崩裂,不影响咀嚼、发音。
  5、不伤害真牙,磨牙很少,比较大化保留自己的牙齿组织,无疼痛,无伤害。
  6、个性化量身打造,率先应用“牙模”设计理念,电脑设计与精密测量,与顾客基牙好贴合。
  西安圣贝口腔医院是国内专业口腔美容机构,在为顾客制作全瓷牙的过程中,严格遵循标准消毒流程,强化消毒管理,使用全自动预真空高压灭菌炉消毒系统,从口腔消毒到诊疗器械消毒、手术区消毒等,关注每一个细节,避免任何交叉感染。


 
  温馨提示:通过以上介绍相信您对“门牙撞掉了该怎么办”已经有所了解,如果您对此还有什么疑问或需要帮助,可以点击在线进行挂号!》》》点击在线预约
  ★免费在线挂号:029-81327105   (全国免费挂号预约电话)
  ★口腔QQ热线:4000299921
  ★医院地址:西安市莲湖区丰登南路2号(丰庆公园西门对面)公园一层
 
关键词: 门牙缺失

美牙热线:029-81327105
地址:西安市莲湖区丰登南路2号(丰庆公园西门对面)公园国际一层)

< >

圣贝牙科为圣贝口腔医院重金打造的旗舰医院,是按照三级口腔专科医院和五星级健康会所标准建设……【详细】

自助挂号    

免专家挂号费,享优先就诊
免费口腔拍片检查

(成功预约后,我们将尽快回访)
特色技术
新闻动态      
6月20日下午,西安市莲湖区政协副主席刘庆明一行到圣贝口腔医院走访...【详细】
3月10日上午,西安圣贝口腔会议室汇聚了一群因种植牙而来的患者朋友...【详细】
3月10日上午,西安圣贝口腔会议室汇聚了一群因种植牙而来的患者朋友...【详细】
爱心义诊进社区 志愿服务暖人心 我院法士特口腔义诊活动圆满结束 3月...【详细】
2022年2月17日上午10点整,随着生日快乐歌的响起,西安圣贝牙科的会员...【详细】

© 2011-2020 西安莲湖圣贝口腔门诊部 版权所有

市医广【2020】第239号

陕ICP备13003650号