圣贝牙科为圣贝口腔医院重金打造的旗舰医院,是按照三级口腔专科医院和五星级健康会所标准建设……【详细】
自助挂号
免专家挂号费,享优先就诊
免费口腔拍片检查
(成功预约后,我们将尽快回访)
特色技术
烤瓷牙失败:牙齿发黑 美学修复案例
时间:2013-10-09 16:45 来源:未知 点击:
患者情况
【患者信息】
名字:刘小姐
年龄:28岁
职业:事业单位员工
牙齿症状:门牙断裂,做了烤瓷牙,牙龈出现黑线
治疗方案:Cerec5D美容冠
名字:刘小姐
年龄:28岁
职业:事业单位员工
牙齿症状:门牙断裂,做了烤瓷牙,牙龈出现黑线
治疗方案:Cerec5D美容冠
治疗方案
【案例回放】
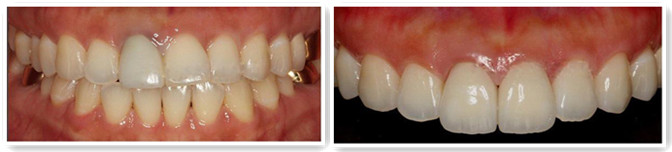
刘小姐是一家事业单位的员工,今年28岁,一年前因为一场意外导致一颗门牙断裂,事后她去了一家小诊所做了烤瓷牙。当时还没什么问题,可是没过多久就经常隐隐作痛,牙龈出现黑线,偶尔还刷牙还流血,刘小姐当时没有在意,可是现在疼痛越来越剧烈。随即刘女士就在朋友的介绍下来到西安圣贝牙科医院进行了检查。

烤瓷牙失败修复前后对比图
经过医生的检查发现刘小姐的牙齿是典型的由烤瓷牙失败引起的问题。因为普通的烤瓷牙修复中,往往因为技术限制,不良修复体长期刺激患者的牙龈组织,最后形成牙周疾病,患者感觉口腔中有口臭、异物感、刷牙出血,可以明显的看见牙龈出现了黑线,最终会导致牙槽骨萎缩、基牙松动、脱落、修复失败。最后,刘小姐在医生的建议下选择Cerec5D美容冠来修复被烤瓷牙损坏的牙齿。
刘小姐是一家事业单位的员工,今年28岁,一年前因为一场意外导致一颗门牙断裂,事后她去了一家小诊所做了烤瓷牙。当时还没什么问题,可是没过多久就经常隐隐作痛,牙龈出现黑线,偶尔还刷牙还流血,刘小姐当时没有在意,可是现在疼痛越来越剧烈。随即刘女士就在朋友的介绍下来到西安圣贝牙科医院进行了检查。

烤瓷牙失败修复前后对比图
术后效果
Cerec5D美容冠修复后,45分钟后,刘小姐牙龈的黑线消失了,原来的不适感全部都消失了。
诊疗时间:8:30-20:00 咨询时间:8:00-23:00
相关阅读
- · 林小姐门牙龋坏烤瓷牙修复案例
- · 杨小姐牙冠折断修复案例
- · 陈先生烤瓷牙失败修复案例
- · 烤瓷牙绷瓷修复案例
- · 烤瓷牙失败修复成功案例
- · 牙缝稀疏修复案例
- · 美容冠修复缺损牙案例
- · 全瓷牙修复牙齿案例
- · 全瓷牙修复案例
- · 牙齿断裂修复案例
- · 林小姐牙齿缺损修复案例
- · 张小姐氟斑牙美白案例

您目前所在的位置:













西安店 
